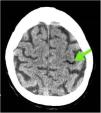
This is the case of a hospitalized patient whose jugular central catheter is removed while sitting on a couch prior to his hospitalization. A few seconds later, the patient develops dissociative disorder, hypokinesia, and acute respiratory failure. A stroke is suspected. The simple cranial CT scan and coronary computed tomography angiography (CCTA) performed reveal no signs of acute ischemia or major cerebral vessel occlusion, but the presence of numerous aerial bubbles at right jugular vein, cerebral cavernous sinuses, extra-axial intracranial sinuses, and a few intra-medulla oblongata bubbles at clivus level (Figs. 1–3). All signs of venous air embolism. This is a rare complication associated with central venous catheters. However, proper management of these is important regarding insertion, maintenance, and removal both at the intensive care unit and hospital ward settings to avoid complications.
Conflicts of interestNone whatsoever.
FundingNone reported.





