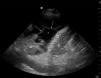
Varón de 78 años, ingresado en nuestra UCI por neumonía neumocócica. La radiografía de tórax mostraba infiltrados alvéolo-intersticiales bilaterales con derrame pleural izquierdo (fig. 1). Una toracocentesis diagnóstica, con técnica ciega, mostró líquido pleural levemente hemático, con glucosa 162mg/dl, proteínas 2,96g/dl, lactato-deshidrogenasa 366UI/l, pH7,38 y leucocitos 480μl (polinucleares 70%). Los criterios radiológicos y citoquímicos orientaban hacia un exudado no complicado, que no indicaría drenaje torácico. Se decidió realizar una ecografía torácica (fig. 2), que mostró colección pleural (*) compartimentada (flechas) y con diversas ecogenicidades, compatibles ecográficamente tanto con trasudados (anecoicas) como con exudados inflamatorios (ecogenicidad heterogénea). Además, se apreciaba atelectasia pulmonar compresiva (AP) del lóbulo inferior izquierdo, con signo de la medusa (**) producido por un fragmento del tejido pulmonar atelectasiado flotando en el líquido pleural. Se indicó una toracentesis evacuadora ecoguiada de la que se obtuvo líquido pleural amarillento, con glucosa 70mg/dl, proteínas 6,33g/dl, lactato-deshidrogenasa 968UI/l, pH7,18 y leucocitos 1.060μl (polinucleares 90%), y en la que se cultivó Streptococcus pneumoniae.
Ecografía torácica coronal en línea axilar posterior izquierda, con sonda sectorial 2-4MHz. La marca redondeada indica la localización craneal. Se observa derrame pleural (*) con signos de compartimentación (flechas) y diferentes ecogenicidades. Se aprecia atelectasia pulmonar (AP) y el «signo de la medusa» (**) descrito en el texto. D=diafragma; B=bazo.




