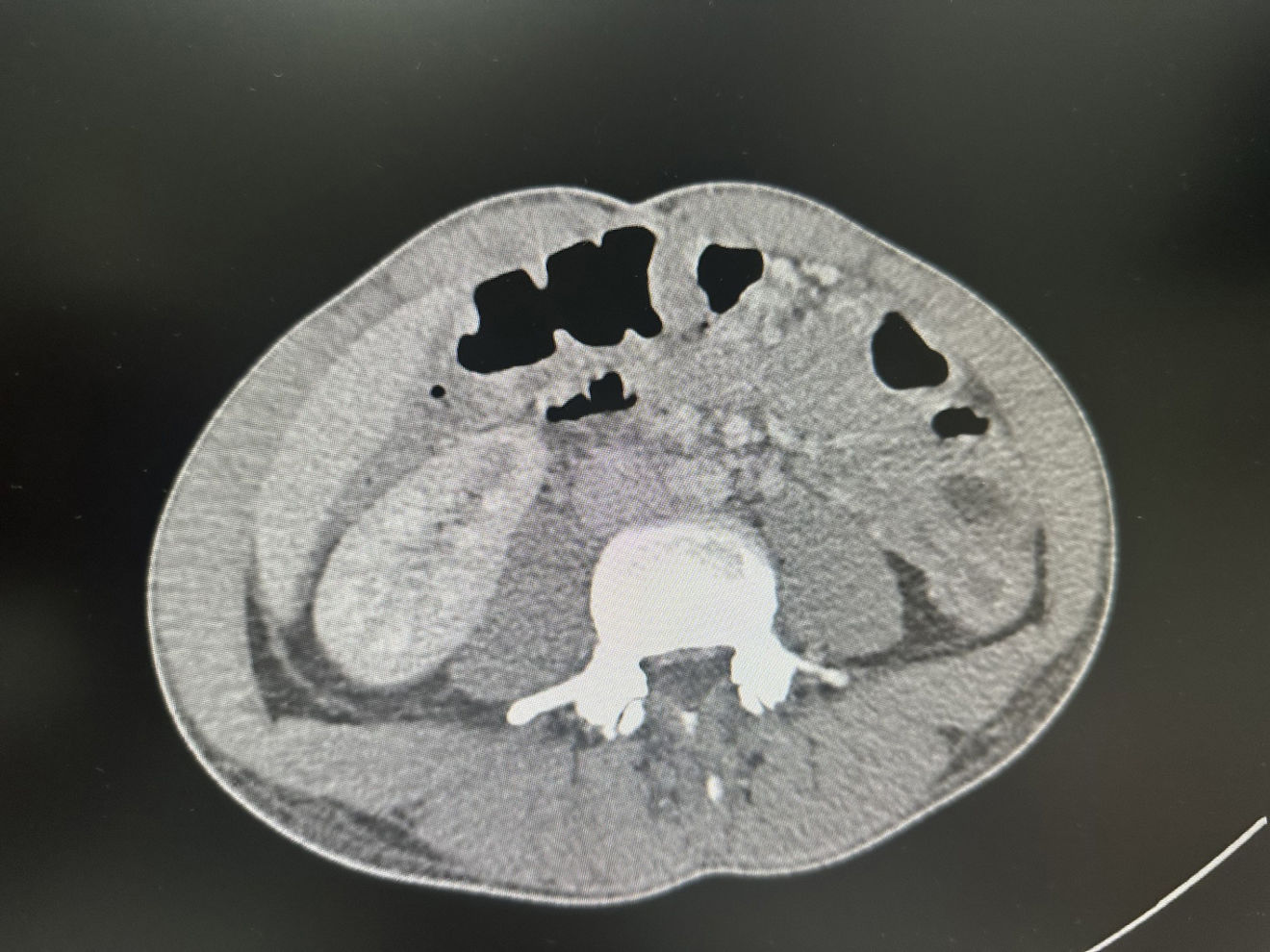
A 31-year-old man with no relevant past medical history was admitted with a several-day history of diarrhea, fever, and abdominal pain. Blood tests revealed the presence of leukocytosis and elevated CRP. The stool culture was positive for Clostridium difficile toxin.
The abdominal ultrasound performed (Fig. 1) revealed the presence of inflammation of the wall of the large intestine (red arrow) with a thickness of 1.45cm (normal value, 0.3cm) and absence of peristalsis seen in the video, compared to the loop of the small intestine (blue arrow), which were findings consistent with colitis (later confirmed by CT scan [Fig. 2]).
FundingNone declared.
None declared.




