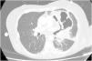
A 63-year-old woman arrived to the Emergency department with cyanosis, severe hypoxia and septic shock. We decided to orotracheal intubation and ICU admission. In the first hours in-ICU, she evolved with worsening of shock, severe refractory hypoxemia, and hypercapnia, without response to prone position, for which she decided to implement support with V-V ECMO, and allow-us to perform a lung CT Scan (Fig. 1) and a bronchoalveolar lavage. Among findings a voluminous abscess communicating with the distal airway indicative of bronchopleural fistula (Fig. 2). In the respiratory cultures, were isolated: Haemophilus influenzae, and Parvomonas micra. Based on these results, we optimized antibiotic therapy. In the following days, envolved with notable improvement, decrease in Noradrenaline until withdrawal. Progressive reduce V-V ECMO parameters until weaning at 12th day. A tracheostomy was performed to wean her from mechanical ventilation. The patient was finally discharged to ward.
FundingThe present article, has not received economic funding from third parties, private entities or companies related to the content of the manuscript.
Conflict of interestThe above-mentioned authors declare that they don’t have any disclosure or conflict of interest related with topic of the manuscript.




