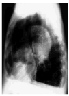
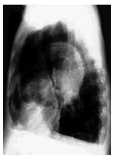
Un paciente de 79 años de edad con el antecedente de enfisema pulmonar severo fue diagnosticado de una rotura de la porción más distal de un aneurisma de la aorta torácica descendente. Se consideró candidato a tratamiento endovascular. Mediante una arteriotomía ilíaca común derecha se introdujeron 3 endoprótesis tipo stent que recubrieron 23 cm de la aorta torácica (figs. 1 A y B). En el seguimiento a 3 meses, el paciente permanece asintomático y con buena calidad de vida.
Fig. 1 A.
Fig. 1 B.




