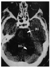
Figura 1.
Figura 2.
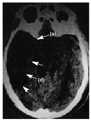
Figura 3.
Paciente varón, de 70 años, con antecedentes de miocardiopatía dilatada en fibrilación auricular crónica. Se presenta con un cuadro brusco de pérdida de conciencia con hemiparesia derecha; posteriormente, se constata también hemiparesia del lado izquierdo.
En la figura 1 se aprecia hipodensidad en la región protuberancial izquierda y en hemisferios cerebelosos que comprimen la parte posterior de la cisterna protuberancial. En la figura 2 se observa una hiperdensidad en la salida de la arteria cerebral media (ACM) derecha (a) e hipodensidad de su territorio tributario, y en la figura 3 una hipodensidad de todo el territorio de la ACM derecha. Las flechas de la imagen delimitan la zona isquémica y señalan la hiperdensidad de la ACM, posición M1.
Diagnóstico: infarto de la protuberancia (b), cerebeloso (c) y del territorio de la ACM derecha (d) con visualización de la oclusión de la arteria tributaria de origen embólico.





