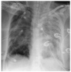
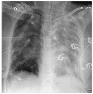
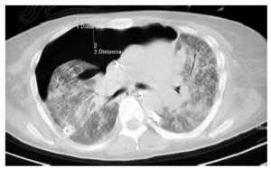
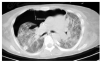
Se trata de una mujer de 36 años con antecedentes de hemosiderosis pulmonar idiopática que ingresa en la Unidad de Cuidados Intensivos (UCI) por insuficiencia respiratoria aguda secundaria a hemorragia alveolar. Es intubada y conectada a ventilación mecánica. A la semana de su ingreso se mantiene un deterioro grave del intercambio gaseoso (PaO2/FiO2 < 100), con infiltrado alveolar bilateral y sin evidencia de nuevo sangrado alveolar. Es diagnosticada de síndrome de distrés respiratorio del adulto secundario a hemorragia alveolar. A los 10 días la paciente sufre neumotórax bilateral y recidivante durante 21 días, a pesar de la colocación de 5 tubos de drenaje torácicos (fig. 1). Se realiza una tomografía computarizada (TC) de tórax en la que se evidencia neumotórax anterior derecho, con desplazamiento de mediastino, con neumatoceles diseminados y lesión difusa alveolointersticial bilateral (fig. 2). La paciente falleció en situación de hipoxemia refractaria tras 45 días de ingreso en UCI.
Fig. 1
Fig. 2




