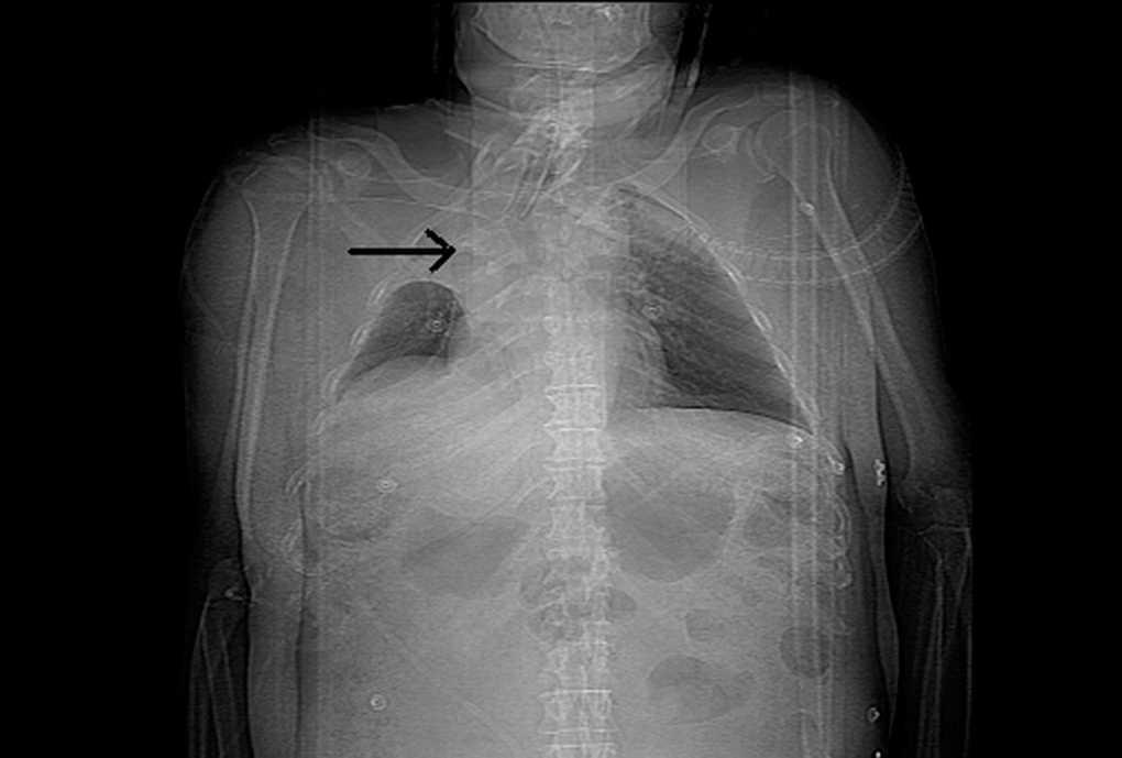
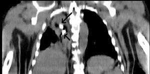
Paciente de 45 años de edad, sin antecedentes médicos de interés, que es remitido a la Unidad de Cuidados Intensivos tras sufrir accidente de tráfico. En la exploración física se aprecia hipoventilación en hemitórax derecho. Ingresa intubado y conectado a ventilación mecánica. Se realiza radiografía de tórax donde se evidencia una atelectasia del hemitórax derecho en el contexto de un traumatismo torácico con existencia de dos cuerpos extraños de densidad radioopaca (fig. 1). Debido a persistencia de alteraciones en la gasometría pese a ventiloterapia, se realizó tomografía computarizada (TC) pulmonar urgente hallándose dos piezas dentarias a nivel endobronquial (fig. 2, reconstrucción coronal). Posteriormente se procedió a extracción de las mismas mediante broncoscopia. Se trataba de una atelectasia postraumática por impactación de dos piezas dentarias a nivel endobronquial.
Figura 1
Figura 2




