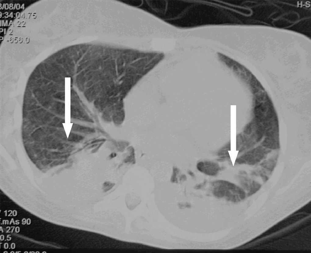
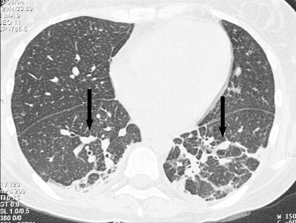
Mujer de 31 años, que ingresa por shock séptico aislándose en dos hemocultivos Staphylococcus aureus en paciente con neutropenia febril de 5 días de evolución tras ciclo de consolidación de linfoma no Hodgkin B, por lo que recibió tratamiento antibiótico empírico en un primer momento con vancomicina e imipenem y posteriormente dirigido con cloxacilina y la retirada del catéter de Hickman, cuyo cultivo semicuantitativo fue negativo. No precisó ventilación mecánica. La radiografía (Rx) de tórax fue normal. Al no encontrar foco evidente de infección se realiza tomografía axial computarizada (TAC) torácica a su ingreso que muestra mínimos cambios consistentes en engrosamiento discretamente irregular de los septos interlobulillares de ambos lóbulos inferiores en su porción posterior, diagnosticándose de neumonía (fig. 1; flechas negras). La paciente evoluciona de forma satisfactoria, desapareciendo la fiebre, pudiéndose retirar los inotrópicos y vasopresores y mejorando la relación PaO2/FiO2; recupera la neutropenia a los 10 días de ingreso en que se realiza TAC de control que confirma consolidación alveolar bilateral (fig. 2; flechas blancas).
Figura 1
Figura 2
										
				



 
		