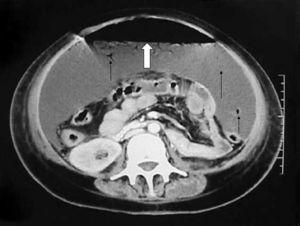
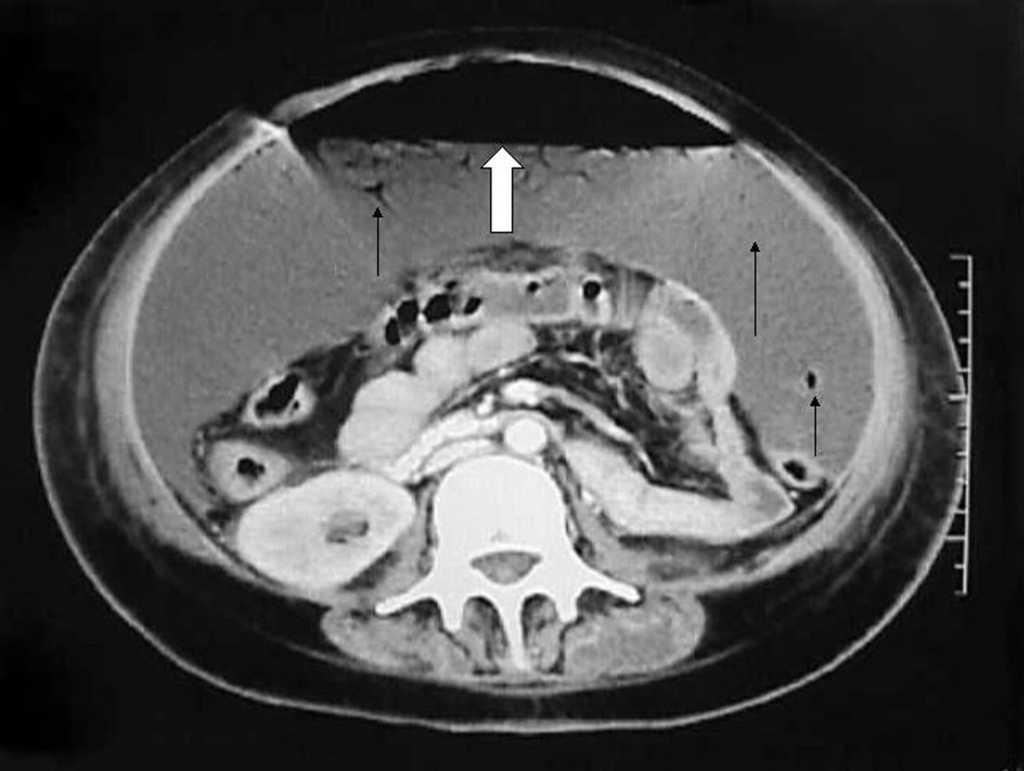
Exponemos el caso de una mujer de 38 años que sufre accidente de tráfico e ingresa en nuestro Centro en situación de shock hipovolémico con fracturas costales múltiples, neumotórax y contusión pulmonar bilateral. Entre las pruebas complementarias realizadas a su ingreso destacan una ecografía y una tomografía axial computarizada (TAC) de abdomen normales. Durante su estancia en el Servicio de Medicina Intensiva se repite dos veces la ecografía abdominal, que muestra una pequeña cantidad de líquido perihepático y entre asas y una colección líquida con ecos en su interior en región prehepática muy superficial en relación con hematoma de pared. A los 19 días, por intolerancia a la alimentación enteral y desarrollo de distensión abdominal se realiza otra TAC (fig. 1) que muestra una gran cantidad de líquido ascítico con gas en su interior en forma de burbujas (flechas negras) y un gran nivel hidroaéreo (flecha blanca). Se interviene a la paciente de urgencia, encontrando un gran neumoperitoneo y aproximadamente 2 litros de líquido intestinal secundario a un desgarro del meso del íleon terminal con necrosis completa y perforación de unos 30 cm.
Figura 1. Nivel hidroaéreo abdominal.



