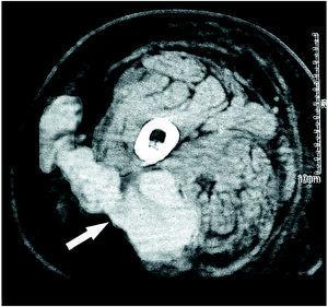
Una mujer de 80 años con factores de riesgo cardiovascular y accidentes isquémicos transitorios repetidos y que recibía tratamiento con acenocumarol y enalapril sufrió un atropello. La paciente presentaba inestabilidad hemodinámica marcada, objetivándose un hematoma de gran volumen en el muslo derecho. Precisó estabilización con cristaloides, concentrados de hematíes y plasma junto con vitamina K con normalización del valor de INR tras 24 h, con posterior aparición de ampollas cutáneas (fig. 1) y valores de presión intracompartimental siempre menores de 30 mmHg, por lo que se decidió actitud conservadora. Se realizó una tomografía axial computarizada que mostró un hematoma del músculo glúteo superior que se extendía al compartimento posterior del muslo y al tejido subcutáneo (fig. 2, flecha). La paciente evolucionó sin complicaciones.
Figura 1.
Figura 2.




