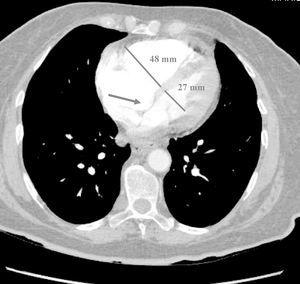
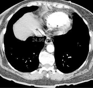
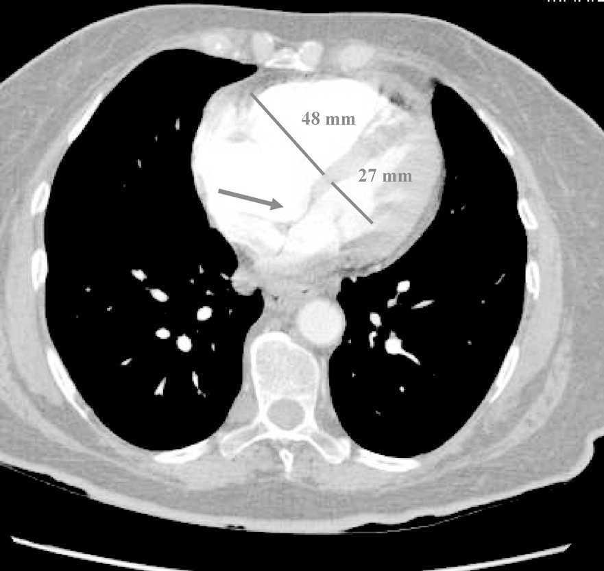
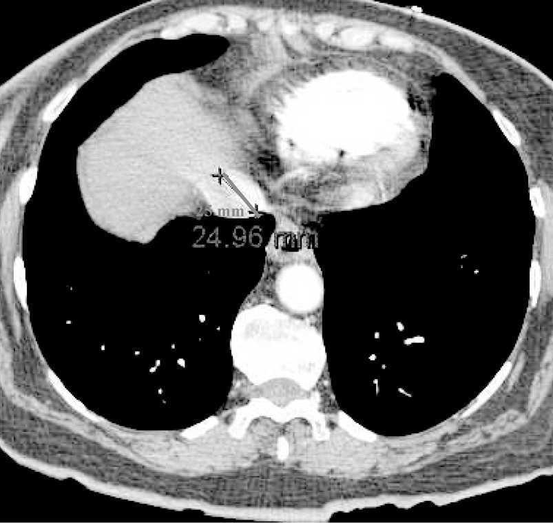
Paciente de 73 años de edad que ingresa en la Unidad de Cuidados Críticos por síncope e hipotensión arterial refractaria a la administración de fluidos intravenosos. En la tomografía axial computarizada (TAC) torácica helicoidal realizada, con protocolo de tromboembolismo pulmonar, se observan signos de embolismo pulmonar extenso con afectación de arterias pulmonares principales y lobares de ambos hemitórax. Igualmente se aprecian signos de sobrecarga ventricular derecha e hipertensión pulmonar. En la figura 1 se observa la dilatación del ventrículo derecho, con índice de diámetro de ventrículo derecho/diámetro de ventrículo izquierdo mayor de 1,5; la flecha indica el abombamiento del septo inter-auricular. En la figura 2 se aprecia, además, reflujo de contraste intravenoso a la vena cava inferior, que se encuentra dilatada. Por tanto, los hallazgos tomográficos podrían servir para valorar de forma indirecta la sobrecarga aguda del ventrículo derecho, secundaria a un tromboembolismo pulmonar.
Figura 1.
Figura 2.




