Sugerencias
Compartir
Información de la revista
Vol. 49. Núm. 8.
(Agosto 2025)
Images in Intensive Medicine
Acceso a texto completo

Pneumomediastinum radiologic signs: Naclerio's V and continuous diaphragm sign

Signos radiológicos de neumomediastino: V de Naclerio y signo de diafragma continuo
Visitas
1179
Christopher Barrera-Hoffmanna, Yadira Mariaca-Ortízb, Enrique Monares-Zepedac,
Autor para correspondencia
enrique_monares@hotmail.com

Corresponding author.
a Critical Care Medicine, Hospital General de Zona No. 71 IMSS, Veracruz, Mexico
b Nephrology, Instituto Nacional de Cardiología “Ignacio Chávez”, Mexico City, Mexico
c Coordination of Intensive Therapy and Hemodynamics in Secondary-Level Hospitals, IMSS Bienestar, Mexico City, Mexico
Este artículo ha recibido
Información del artículo
Texto completo
Descargar PDF
Estadísticas
Figuras (2)
fig0005
fig0010
Texto completo

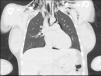
A previously healthy 21-year-old woman primigravida at 36 weeks of pregnancy underwent vaginal delivery of a male infant. In the inmediate pospartum period, she developed subcutaneous emphysema and chest discomfort. A chest X-ray (Fig. 1) revealed subcutaneous emphysema and signs of pneumomediastinum, including Naclerio's V (blue area) and the continuous diaphragm sign (yellow lines). She was treated with conventional oxygen therapy and analgesics. A non-contrast chest CT (Fig. 2) confirmed the presence of pneumomediastinum. During her hospital stay, she was managed conservatively, with gradual improvement of symptoms and resolution of the subcutaneous emphysema. As there were no signs of recurrence, she was discharged after five days.

Figure 1
Figure 2
Funding

The authors received no specific grant from any funding agency in the public, commercial, or not-for-profit sectors.

Conflicts of interest

The authors report no conflict of interest.

Copyright © 2025. Elsevier España, S.L.U. y SEMICYUC
Descargar PDF
Idiomas
Medicina Intensiva
Opciones de artículo
Herramientas