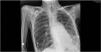
Our patient experienced clinical stagnation for 5 days due to complete atelectasis of the left lung. Non-invasive ventilation was alternated with high flow nasal cannula to maintain saturations at 90%. On the sixth day of clinical stagnation, the first respiratory physiotherapy intervention was performed. A pre- and post-radiological assessment was carried out. The recruitment of the left lung was clearly observed improving not only the radiological control but also the patient's symptoms and gasometric control, achieving PaO2/FiO2 values>300 within 24h. The respiratory physiotherapist's intervention had a significant impact on the patient's health, achieving the predefined goals prior to the session. Following clinical improvement, the patient was able to be transferred to their reference hospital within the next 48h, shortening their stay in the ICU (Figs. 1 and 2).
Declaration of Generative AI and AI-assisted technologies in the writing processThe authors declare that AI has not been used in the preparation of the manuscript.
FundingThe study did not receive any funding.
The authors have no conflicts of interest to declare.




