Sr. Director:
Las anomalías en el origen de las arterias coronarias son infrecuentes; pueden cursar asintomáticas o presentar arritmias, isquemia y muerte súbita1.
Presentamos una inusual variante anatómica2, el origen anómalo de la arteria coronaria izquierda (ACI) en el seno coronario derecho, con trayecto inicial intraarterial en la pared aórtica y posterior curso interarterial entre arteria aorta y pulmonar.
Se trata de una mujer de 15 años de edad con antecedentes de episodios sincopales relacionados con el esfuerzo. Tras correr unos metros sufre cuadro sincopal. Acude a urgencias con dolor torácico, inestabilidad hemodinámica y disnea con saturación de oxígeno del 86%, la auscultación pulmonar revela crepitantes bilaterales.
El electrocardiograma muestra lesión subepicárdica en cara anterolateral con descenso del segmento ST en cara inferior. La radiografía de tórax es compatible con edema agudo de pulmón. Enzimas cardíacas: troponina I: 0,40 ng/ml, CK-Mb masa: 8,6 ng/ml, mioglobina: 10.100 ng/ml.
Ingresa en la Unidad Coronaria iniciándose tratamiento con oxígeno, inotrópicos (dobutamina y dopamina), solinitrina y furosemida, persistiendo la situación de insuficiencia cardíaca.
La ecocardiografía muestra hipocontractilidad global del ventrículo izquierdo. Se coloca catéter de Swanz-Ganz: presión capilar pulmonar 16 mmHg.
En el control enzimático dos horas después se objetiva: troponina I: 33,85 ng/ml, CK-Mb masa 286 ng/ml, mioglobina > 4.000 ng/ml, CPK 4.566 ng/ml.
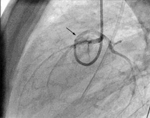
Se decide realizar coronariografía, objetivándose el origen anómalo de la ACI en el seno coronario derecho (fig. 1) con trayecto intraarterial.
Figura 1. Coronariografía. Origen y trayecto anómalo de la coronaria izquierda (flecha negra).
La paciente es intervenida quirúrgicamente (fig. 2), visualizándose el trayecto de la ACI entre la aorta y la arteria pulmonar. Se realiza transección del tronco de la ACI con un nuevo ostium en el seno coronario izquierdo y anastomosis del tronco de la ACI. Tras un postoperatorio sin complicaciones es dada de alta a su domicilio.
Figura 2. Observamos origen y trayecto inicial de la arteria coronaria izquierda (flecha negra). A Ao: arteria aorta.
La incidencia de anomalías congénitas de las arterias coronarias varía según las distintas series del 0,3% hasta el 1,3%1,3.
Inicialmente estas anomalías se consideraron simples hallazgos, sin significación clínica, y posteriormente se relacionaron con episodios de muerte súbita en pacientes jóvenes4 y cuadros de isquemia coronaria.
Varios mecanismos pueden implicarse en el desarrollo de la isquemia miocárdica, presentando especial relevancia el trayecto inicial de las coronarias anómalas y su relación con la aorta y la arteria pulmonar5.
En nuestro caso el trayecto intraarterial aórtico y su paso entre los dos grandes vasos justifica la clínica de la paciente en situaciones de ejercicio, por la compresión que ambas arterias ejercerían sobre la coronaria anómala durante la fase sistólica.
Esto conlleva un defecto de flujo que da lugar a una isquemia brusca del ventrículo izquierdo, susceptible de recuperación cuando el ejercicio cesa.
El procedimiento diagnóstico esencial es la coronariografía. La ecocardiografía transesofágica y la resonancia magnética proporcionan información adicional; esta última puede convertirse en una buena alternativa diagnóstica no invasiva.
La cirugía es el tratamiento indicado, particularmente en jóvenes con sintomatología. La urgencia de la intervención está determinada por la repercusión clínica.
El diagnóstico precoz de estos casos requiere un alto nivel de sospecha por lo infrecuente de los mismos, y presenta especial importancia en jóvenes y deportistas, por lo que su búsqueda debiera ser un objetivo a incluir en las evaluaciones cardiológicas de esta población.




