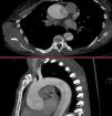
Mujer de 47 años con antecedente de aortopatía bicúspide en abuelo paterno; los padres fallecieron jóvenes en un accidente de tráfico. Por palpitaciones, se solicitó un ecocardiograma ambulatorio, observando un ventrículo dilatado con un diámetro telediastólico del ventrículo izquierdo de 71mm, indexado 3,4mm/m2, fracción de eyección del ventrículo izquierdo del 55-60% además de una válvula aórtica bicúspide con fusión entre los velos coronarianos derecho e izquierdo que condicionaba una insuficiencia aórtica severa (fig. 2) con una raíz aórtica de 40mm. Se solicitó una tomografía computarizada para estudio prequirúrgico (fig. 1) que se realizó tres semanas después, evidenciando una disección aórtica tipoA de Stanford/DeBakeyI con un flap intimal a nivel de la raíz que se extendía longitudinalmente (fig. 3) y de forma espiroidea hasta la arteria ilíaca común izquierda, involucrando el tronco braquiocefálico derecho sin comprometer su flujo. Ante estos hallazgos se trasladó a la unidad de cuidados intensivos cardiológicos para intervención quirúrgica urgente, realizándose cirugía de David con reimplante independiente del tronco braquiocefálico.
FinanciaciónNo hay financiación.
Conflicto de interesesNo hay conflicto de intereses.






