A 72-year-old woman was admitted to our hospital for a scheduled gallbladder carcinoma surgery. A four-lumen central line was placed in the left internal jugular vein with ultrasound-guided technique in the operating theater without incidences.
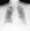
A postoperative chest X-ray was taken at ICU admission (Fig. 1), which revealed a marked right-displacement of the trachea and an increased density area in the mediastinum, which was identified as a hematoma caused by the catheter placement. None of these findings were present in the preoperative chest X-ray (Fig. 2). A computed tomography and thoracic angiography (Fig. 3) were performed and neither active bleeding nor airway compromise was found. The catheter was removed without complications. One week later chest X-ray showed no alterations.





