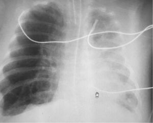
A 4-month-old, ex-premature (24 weeks of pregnancy) patient with severe bronchopulmonary dysplasia on mechanical ventilation (pressure control mode with PIP 25cmH2O, PEEP 5.5cmH2O, respiratory frequency 35rpm and FiO2 30%). On the reported day, the patient required FiO2 of up to 50%, and the chest X-rays (Fig. 1) showed intense hyperinsufflation of the right hemithorax and the absence of the lung sliding sign at pulmonary ultrasound (Fig. 2). In view of the evolution of patients with bronchopulmonary dysplasia towards dynamic compression of the distal airway, we decided to progressively increase PEEP, without ultrasound improvement until PEEP 10cmH2O was reached; at this point pleural sliding was seen to reappear (Fig. 3) and the chest X-rays showed partial resolution of the overdistension (Fig. 4).
FundingThe author received no funding for the presentation of this clinical case.
Please cite this article as: Alonso-Ojembarrena A. Utilidad de la ecografía pulmonar para monitorizar la sobredistensión grave en paciente con displasia broncopulmonar grave. Med Intensiva. 2020;44:131–132.






