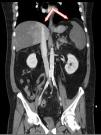
A 52-year-old patient with a history of ulcerative colitis consulted due to abdominal pain and rectal bleeding. The laboratory tests revealed liver cell necrosis and coagulation alterations, with acute phase reactant elevation and metabolic acidosis (lactate 10mmol/l). The abdominal CAT scan revealed massive arterial and venous thromboses (Fig. 1). Celiac trunk thrombosis was observed at the trifurcation, together with thrombosis affecting the splanchnic, left gastric and common hepatic arteries and respective branches, accompanied by extensive portal, superior mesenteric and splanchnic venous thrombosis, with massive infarction in the liver and spleen (Fig. 2). The clinical course proved negative and the patient died three days after admission. The cause of the arterial and venous thromboses could not be established.
Financial supportThis study has received no financial support.
Conflicts of interestThe authors declare that they have no conflicts of interest.
Thanks are due to the Department of Intensive Care Medicine of Hospital Virgen del Rocío.
Please cite this article as: López-García I, Martín-Bermúdez R, Porras-López M. Trombosis arterial y venosa masiva. Med Intensiva. 2018;42:e1.




