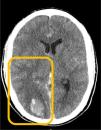
Varón con shock séptico de partes blandas por Streptococcus pyogenes tras traumatismo. Diseminación hematógena con fascitis necrosante en extremidades (resección quirúrgica) y meningitis con absceso cerebral (craniectomía y evacuación). Tomografía (TAC) con contraste: edema en el tejido subcutáneo del brazo izquierdo y en los vientres musculares, y colección en la cara medial de la pierna derecha (fig. 1, flecha azul). Hematoma craneal lobar parietooccipital derecho, edema vasogénico y hemorragia subaracnoidea traumática en cisternas, con aumento del efecto masa (borramiento de surcos y compresión del ventrículo lateral derecho) (fig. 2, recuadro naranja). Resonancia craneal tras empeoramiento clínico (fig. 3): colección occipitotemporal derecha de 3,5×9cm, márgenes irregulares hipercaptantes y restricción (estrellas rojas) sugestiva de absceso cerebral, con pus intraventricular, herniación subfalciana y uncal derecha (flechas rojas), así como hematoma subdural a nivel de la craniectomía (triángulo rojo).
El presente artículo no ha recibido ninguna beca específica de agencias de los sectores público, comercial, o sin ánimo de lucro.
Contribución de los autoresTodos los autores han contribuido en la concepción y el diseño del trabajo, en el borrador del artículo, en la revisión de mismo y en la aprobación definitiva de esta versión final.
Conflicto de interesesNinguno de los autores tiene ningún conflicto de intereses.





