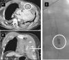
We hereby present the case of a sixty-six-year-old male admitted to the hospital to receive a double-J catheter for the management of his urinary lithiasis. Forty-eight hours after the procedure the patient suffers from an in-hospital cardiac arrest. On high suspicion of PTE an intra-cardiac arrest systemic thrombolysis is conducted; the resuscitation maneuvers go on for another 45min until spontaneous circulation is recovered. Afterwards, the patient suffers from a hemorrhagic shock as identified by the CT scan: fracture of the middle third of the sternum and the anterior side of several left ribs, and retrosternal active bleeding coming from the patient's left internal mammary artery (Fig. 1A and B). The arteriography confirmed such bleeding (Fig. 1C) and a selective embolization procedure was conducted with good results. The patient progressed satisfactorily.
Please cite this article as: Arnaiz Arnaiz V, Berástegi Santamaría C, Olaechea Astigarraga PM. Sangrado de arteria mamaria interna secundario a resucitación prolongada. Med Intensiva. 2019;43:389.



