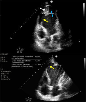
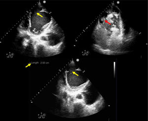
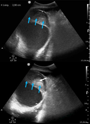
This is the case of a 61-year-old woman who had a myocardial infarction one month prior and subsequently developed post-infarction mechanical complications. The echocardiogram revealed the presence of a large apical pseudoaneurysm (Figs. 1 and 3: blue arrow) (Appendix A Video), with a 2.93cm neck (Figs. 1 and 2: yellow arrow) and free flow of echocontrast through it (Fig. 2: red arrow). The lumen was partially thrombosed (Figs. 1 and 3: white arrow). She also exhibited severe left ventricular dilatation and very severe global systolic dysfunction (Fig. 1) (LVEF 11%; LVOT VTI 7cm). Forty-eight hours after admission, the patient developed SCAI C-D cardiogenic shock, requiring mechanical support with V-A ECMO and an intra-aortic balloon pump, which led to a significant improvement in organ perfusion. After coordination with the referral hospital, she underwent a code 0 heart transplant, with a favorable recovery. This case highlights the importance of echocardiographic diagnosis and mechanical support management in critical situations of cardiogenic shock.
FundingNone declared.
None declared.


