Sugerencias
Compartir
Información de la revista
IMÁGENES EN MEDICINA INTENSIVA
Disponible online el 25 de noviembre de 2025
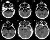
Coma secundario a neumoencéfalo a tensión en fosa posterior
Coma due to tension pneumocephalus in the posterior fossae
Visitas
280
Luis Patricio Maskin
Autor para correspondencia
lmaskin@fleni.org.ar

Autor para correspondencia.
, Florencia A. Cabañuz, Federico Rodriguez Lucci
Unidad de Cuidados Intensivos, Fundación para la Lucha contra las Enfermedades Neurológicas de la Infancia (FLENI), Buenos Aires, Argentina
Este artículo ha recibido
Información del artículo
Texto completo
Descargar PDF
Estadísticas
Figuras (1)
Suplemento especial
Este artículo forma parte de:
El paciente neurocrítico

Editado por: el Dr. Juan Antonio Llompart Pou
Médico especialista en Medicina Intensiva, Doctor en Ciencias de la Salud por la Universitat Illes Balears. Servicio de Medicina Intensiva, UCI Trauma y Neurocríticos, Hospital Universitari Son Espases. Palma, España.

Última actualización: Enero 2026

Más datos

Artículo

Opciones para acceder a los textos completos de la publicación Medicina Intensiva
Socio
Si es usted socio de la Sociedad Española de Medicina Intensiva, Crítica y Unidades Coronarias:
Diríjase al área de socios de la web de la SEMICYUC (www.semicyuc.org ) y pulse el enlace a la revista.
Suscriptor
Suscriptor de la revista

Si ya tiene sus datos de acceso, clique aquí.

Si olvidó su clave de acceso puede recuperarla clicando aquí y seleccionando la opción "He olvidado mi contraseña".
Suscribirse
Suscribirse a:

Medicina Intensiva

Comprar
Comprar acceso al artículo

Comprando el artículo el PDF del mismo podrá ser descargado

Comprar ahora
Contactar
Teléfono para suscripciones e incidencias
De lunes a viernes de 9h a 18h (GMT+1) excepto los meses de julio y agosto que será de 9 a 15h
Llamadas desde España
932 415 960
Llamadas desde fuera de España
+34 932 415 960
Email
Idiomas
Medicina Intensiva
Opciones de artículo
Herramientas