Editado por: Juan Antonio Llompart-Pou - Specialist in Intensive Care Medicine, Doctorate in Health Sciences, Universitat Illes Balears. Department of Intensive Care Medicine, Trauma and Neurocritical ICU, Hospital Universitari Son Espases. Palma, Spain
Última actualización: Noviembre 2025
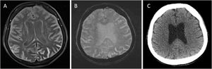
Más datosA 65-year-old female monitored in the ICU for severe hypertension (225/120mmHg) developed sulcal hyperintensities on FLAIR on day one after contrast-enhanced MRI, raising suspicion of subarachnoid hemorrhage (SAH) (Fig. 1A). However, SWI and CT showed no hemorrhage (Fig. 1B and C). The findings were attributed to gadolinium leakage, confirmed by normalization on follow-up imaging. Recognizing this prevents misdiagnosis and unnecessary interventions. This case highlights that conditions leading to blood-brain barrier disruption may allow gadolinium to leak into the subarachnoid space, which may mimic SAH on FLAIR sequences obtained after contrast-enhanced MRI. In such cases, the use of additional imaging modalities, such as CT and SWI, is crucial to avoid misdiagnosis and unnecessary interventions.
Ethical approvalThe Local Ethics Committee approval was obtained.
FundingThe authors received no financial support for the research and/or authorship of this article.
The authors declare that they have no conflict of interest to the publication of this article.
This study has not been duplicate publication or submission elsewhere.



