INTRODUCCIÓN
Algunos pacientes presentan tras un traumatismo craneoencefálico (TCE) grave un cuadro clínico consistente en episodios autolimitados de hipertensión arterial, taquicardia, taquipnea, hiperhidrosis, disminución del nivel de conciencia con rigidez muscular y postura en extensión, elevación de la temperatura corporal, salivación excesiva y dilatación pupilar. Existe escaso conocimiento acerca de este trastorno, como lo prueba la diferente terminología utilizada en su descripción: "tormenta simpática paroxística"1, "crisis diencefálicas"2, o "disfunciones disautonómicas"3. Nosotros la denominaremos "crisis disautonómica", entidad que inicialmente, fue atribuida a agenesia del cuerpo calloso, tumoraciones supraselares y diencefálicas e hidrocefalia. Una búsqueda sistemática en Medline desde 1985, de pacientes con TCE seguidos de trastornos disautonómicos precoces, mostró algunos casos aislados1,2,4-7, sin análisis global ni de aspectos fisiopatológicos. El estudio más extenso es un estudio retrospectivo de 35 pacientes (casos) con crisis disautonómicas después de un traumatismo craneal, que son comparados con otros 35 pacientes (controles) de las mismas características en cuanto al género y a la puntuación del Glasgow Coma Score (GCS)3. El principal hallazgo de este estudio es que los pacientes con crisis disautonómicas tienen peor pronóstico en cuanto a recuperación funcional y una mayor estancia hospitalaria.
Nosotros describimos tres casos de pacientes que sufrieron un TCE grave y que presentaron consecutivamente crisis de descarga simpática, los hallazgos de la tomografía axial computarizada (TAC) mediante la clasificación de Gennarelly8 (tabla 1), así como el grado de recuperación neurológica de los pacientes a los 6 meses del traumatismo, medido con la escala de Jennet y Bond9 (tabla 2).
OBSERVACIONES CLÍNICAS
Caso clínico 1
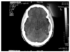
Hombre de 18 años que sufrió un accidente de moto mientras circulaba sin casco. Al ingreso hospitalario presentaba un GCS de 6. Se intubó y fue conectado a ventilación mecánica. La serie radiológica completa y la ecografía abdominal descartaron lesiones extraneurológicas. La TAC de cráneo mostró una línea de fractura temporoparietal izquierda, con hematoma epidural por debajo de la línea de fractura y varios focos contusivos intraparenquimatosos, sin desplazamiento de la línea media (grado 1b de la clasificación de Gennarelli) (fig. 1). La analítica sanguínea inicial no mostró alteraciones. Se practicó una craniectomía parietotemporal izquierda urgente para evacuación del hematoma epidural y se colocó un sensor intraparenquimatoso para medida de la presión intracraneal (PIC). Los primeros días presentó hipertensión intracraneal y requirió tratamiento con pentotal, manitol y diuréticos para controlar la presión intracraneal. En la TAC y la resonancia magnética (RM), realizadas en el control evolutivo, no se objetivaron nuevas lesiones. A partir del quinto día, ya sin pentotal, presentó tres o más episodios diarios de más de una hora de duración si no eran tratados, consistentes en hipertensión arterial, sudoración profusa, taquipnea, taquicardia, postura de descerebración y dilatación de ambas pupilas, que cedían con morfina intravenosa administrada en bolos. Estas crisis se manifestaron en presencia de tratamiento con infusión intravenosa continua de midazolam y retrasaron la suspensión de la sedación. Se intentó tratamiento profiláctico de las crisis con clonidina intravenosa administrada cada 6 horas, sin éxito. A partir del décimo día, ya sin sedación, el paciente mostraba un GSC 11-12, hemiparesia derecha y afasia de predominio motor. El día décimoquinto fue extubado y al alta, tras 19 días de estancia en la Unidad de Cuidados Intensivos (UCI) seguía presentando un GSC similar, así como los episodios referidos con frecuencia igual o superior a tres diarios, sin relación con estímulo externo, fiebre, infección u otra complicación. A los seis meses del traumatismo mostraba un grado 5 de recuperación según la escala Glasgow Outcome Scale (GOS) y los episodios citados habían desaparecido sin tratamiento específico alguno.
Figura 1. Tomografía axial computarizada (TAC) de cráneo al ingreso en el hospital. Imagen de hiperdensidad en región parieto-temporal izquierda compatible con hematoma extradural, con varios focos contusivos intraparenqimatosos subyacentes englobados en un área heterogénea de hipodensidad compatible con edema, sin llegar a desplazar línea media (grado 1b de la clasificación de Gennarelli).
Caso clínico 2
Hombre de 20 años que sufrió accidente de moto mientras circulaba con casco. En el lugar del accidente se objetivó un GSC 6. Se intubó y se trasladó a nuestro hospital. El estudio radiológico inicial mostraba las siguientes lesiones: fractura esfenoidal del arco cigomático, del seno maxilar y de la rama mandibular izquierda, fractura diafisaria de fémur izquierdo, fractura diafisaria de radio izquierdo. La TAC de cráneo no mostró lesiones intra ni extraaxiales (grado 5b de Gennarelli). Se colocó inicialmente un sensor intraparenquimatoso de PIC que mostró valores inferiores a 20 mmHg. Desde el tercer día se objetivaron, al menos, dos episodios diarios de duración superior a una hora, consistentes en hipertensión arterial, taquicardia, taquipnea, sudoración profusa, hipersalivación y contractura muscular generalizada. No guardaban una aparente relación con estímulos externos o internos y remitían espontáneamente o con bolos intravenosos adicionales de morfina, sobre una perfusión de 50 mg diarios de cloruro mórfico. Se utilizó también clonidina y labetalol intravenosos para intentar prevenir dichos episodios, sin resultado. A los 18 días de estancia se realizó una traqueotomía, lo que permitió la retirada de la ventilación mecánica. Al alta de la UCI, tras 25 días del accidente, mantenía un GSC de 8-9, sin déficit focal aparente, pero seguía presentando dichas crisis. A los 6 meses, el grado funcional había mejorado hasta un nivel 5 de la GOS, los episodios habían desaparecido y no requerían tratamiento.
Caso clínico 3
Un joven de 16 años sufrió una caída accidental de unos dos metros, golpeándose en la región occipital. En el lugar del accidente presentaba un GSC de 4. Fue trasladado a nuestro hospital y se conectó a ventilación mecánica tras comprobar su nivel de conciencia. La analítica y el estudio radiológico iniciales fueron normales. La TAC de cráneo mostró aumento de partes blandas en región occipitoparietal derecha y pequeños focos contusivos múltiples en región frontal, por posible contragolpe (grado 5a de Gennarelli). Se colocó sensor intraparenquimatoso de PIC que registró valores normales hasta su retirada. A partir del segundo día, tras suspender la sedación, presentó un GSC de 12, así como episodios espontáneos de, aproximadamente, una hora de duración, que se repetían al menos 5 veces al día y cursaban con hipertensión arterial, taquipnea, taquicardia, sudoración profusa, dilatación pupilar y rigidez muscular con postura en extensión. No se relacionaban con los valores de PIC ni con estímulos externos y remitían con bolos de morfina. Se extubó al tercer día del ingreso, se dio de alta de la UCI al séptimo día, aunque seguía presentando los mismos episodios. A los 6 meses, el paciente había alcanzado un grado 4 de recuperación en la escala de GOS y las citadas crisis habían desaparecido sin requerir tratamiento.
DISCUSIÓN
La presentación de las crisis disautonómicas en nuestros pacientes fue bastante uniforme, variando sólo en la intensidad y duración. Generalmente superaron una hora, no se relacionaron con un evento externo como fiebre, aspiración de secreciones, aseo diario, etc., y se repitieron varias veces al día.
Todos los casos eran hombres jóvenes, lo que se corresponde con el perfil demográfico más frecuente de los pacientes ingresados en nuestra UCI con TCE grave. Por otra parte, la aparatosidad de las manifestaciones clínicas probablemente requeriría una descarga hormonal y/o de mediadores de tal magnitud que no podría expresarse en pacientes de mayor edad10.
Algunos autores han atribuido las crisis disautonómicas a elevaciones de la PIC11, si bien nuestros pacientes mostraron en casi toda su evolución valores normales de este parámetro. Las crisis suelen ser manifestaciones precoces1,2, como sucedió en nuestros casos, pero quizá no se expresan con todo su cortejo por estar los pacientes bajo los efectos de la sedorrelajación. Además, la presentación tan recortada, la persistencia en el tiempo y el desarrollo exclusivo tras un TCE grave descartaría la posibilidad del síndrome de privación de psicotropos. De hecho, persistieron al alta de la UCI, aunque terminaron por desaparecer al cabo de los meses. Pensamos que ello fue independiente del tratamiento utilizado. Las manifestaciones clínicas se intentaron prevenir con labetalol, clonidina y opiáceos, sin que se pudiera establecer la efectividad del tratamiento.
Es llamativo el buen pronóstico alcanzado por nuestros pacientes al cabo de los 6 meses. Baguley3 refirió peor pronóstico a corto y largo plazo en los pacientes con TCE que presentaron dichas crisis. Nuestra serie es limitada y no permite extraer conclusiones en este sentido, ya que, además, no hemos analizado el pronóstico a corto plazo, sino el grado de recuperación al cabo de 6 meses de evolución. Otro hecho relevante es la ausencia de mortalidad en nuestra serie. Creemos que ello se debe a que se trata de una población seleccionada, ya que la mayoría de los pacientes con TCE grave que fallecen lo hacen precozmente.
Respecto a los hallazgos de la TAC craneal, los resultados tan heterogéneos de nuestros enfermos impiden identificar un prototipo de lesión radiológica específica de la crisis disautonómica. En el estudio de Baguley3, un 91% de los pacientes con crisis disautonómicas presentaban lesión axonal difusa frente a un 66% en el grupo de pacientes sin crisis, pero no utilizó una clasificación validada como la nuestra.
Por tanto, en nuestra corta serie, la presentación de las crisis disautonómicas fue bastante uniforme, precoz y característica. Afectaron a hombres jóvenes, persistieron al alta de la UCI, independientemente del tratamiento aplicado, pero a los 6 meses habían desaparecido. No se estableció un patrón radiológico de las mismas. La presencia de las crisis no interfirió con el grado de recuperación neurológica a los 6 meses del traumatismo.





