INTRODUCCIÓN
La incidencia de complicación trombótica en prótesis valvulares mecánicas varía, según las distintas series, entre el 0,03% y el 4,3% pacientes/año, y se observa con mayor frecuencia en las prótesis en posición mitral y en los pacientes con anticoagulación en rango infraterapéutico.
El diagnóstico de esta complicación se realiza mediante ecocardiografía transesofágica (ETE), midiendo el gradiente transvalvular y observando la falta de movilidad de algún disco de la prótesis.
El tratamiento clásico de esta complicación pasa por la reintervención quirúrgica para recambio de la prótesis trombosada. En los últimos años se comienzan a publicar resultados del tratamiento fibrinolítico en estos pacientes como alternativa al tratamiento quirúrgico1. Sin embargo, teniendo en cuenta las complicaciones embólicas y hemorrágicas potencialmente graves que este tratamiento puede ocasionar, se mantiene el debate acerca de los criterios de selección de pacientes para esta opción terapéutica, así como la elección de la dosis y tipo de agente fibrinolítico a utilizar.
CASO CLÍNICO
Se trata de una mujer de 74 años con antecedentes personales de: cardiopatía reumática, hipertensión arterial, fibrilación auricular crónica, accidente cerebrovascular con hemiparesia residual hace 7 años, portadora de una prótesis valvular mitral mecánica tipo CarboMedics 27 mm y anticoagulada con acenocumarol desde hace dos años.
Ingresó en otro hospital por un cuadro de disnea progresiva de un mes de evolución, y en situación de edema agudo de pulmón. Presentó una discreta mejoría clínica inicial con tratamiento convencional y se le realizó una ETE en la que se apreciaron datos de estenosis mitral severa e hipertensión pulmonar, por lo que con el diagnóstico de disfunción de prótesis mitral fue enviada a nuestro hospital para eventual tratamiento quirúrgico.
A su ingreso la paciente presentaba datos de insuficiencia cardíaca congestiva (plétora venosa, crepitantes bibasales en la auscultación pulmonar, etc.), "click" de la prótesis de escasa intensidad y retumbo diastólico mitral en la auscultación cardíaca. En la analítica de rutina únicamente llamaba la atención una hemoglobina de 10,3 g y actividad de protrombina del 60%. Los hallazgos electrocardiográficos se correspondieron con una fibrilación auricular con respuesta ventricular a 75 latidos/minuto y bloqueo de rama izquierda.
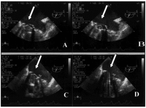
Se practicó una ETE que mostró un ventrículo izquierdo de tamaño y función normal; la prótesis valvular mitral presentaba uno de los discos bloqueados en posición de cierre provocando estenosis severa, con gradiente medio de 18 mm y área de 0,7 cm2; insuficiencia tricuspídea grado II y presión pulmonar superior a 60 mm (fig. 1).
Figura 1. A y B: sístole y diástole prefibrinolisis, se aprecia uno de los discos fijo en diástole y el otro con apertura parcial (flechas). C y D: sístole y diástole posfibrinolisis, se aprecia la apertura completa de los discos (flechas).
Con el diagnóstico de disfunción de prótesis mitral con estenosis severa, y dado el rápido deterioro clínico, muy probablemente secundario a la trombosis de la prótesis valvular, nos planteamos dos alternativas terapéuticas: reintervención para nuevo recambio valvular o tratamiento fibrinolítico. En este caso, teniendo en cuenta el deterioro moderado pero progresivo de sus funciones intelectuales superiores tras su primera cirugía cardíaca con circulación extracorpórea, decidimos optar por el tratamiento trombolítico.
Se administró Tenecteplasa (TNK) en dosis de 100 unidades por kg en bolo seguido de tratamiento anticoagulante con enoxaparina en dosis de 1 mg/kg subcutánea cada doce horas. No se apreciaron complicaciones embólicas ni hemorrágicas. A las 72 horas de la administración de la primera dosis del agente fibrinolítico, una nueva ETE mostraba un gradiente transvalvular mitral de 9 mm, lo que significaba una reducción del 50% en relación al previo, si bien el disco continuaba en posición cerrada fija. Dada la buena respuesta inicial y ausencia de complicaciones, a las 48 horas de la realización de la última ETE se repitió un nuevo "bolo" de TNK y se continuó con enoxaparina 6 días más.
Una nueva ETE practicada a las 96 horas del segundo bolo de fibrinolítico, mostraba un gradiente transvalvular mitral medio de 6 mm, una insuficiencia tricuspídea ligera, presiones pulmonares inferiores a 40 mmHg y perfecta apertura de los dos discos de la prótesis con flujo normal por Doppler color (fig. 1).
La paciente fue dada de alta del hospital para seguimiento ambulatorio, en buena situación clínica y ausencia de semiología de insuficiencia cardíaca.
DISCUSIÓN
La trombosis valvular es una complicación grave en los portadores de válvula protésica mecánica y conlleva una alta mortalidad, incluso con fibrinolisis (12%)2.
El diagnóstico precoz de esta complicación es muy importante, pues nos permitirá aplicar una determinada actitud terapéutica antes de que el deterioro hemodinámico sea irreversible. En este sentido, la ETE resulta de gran utilidad pues permite ver, mediante la utilización de la técnica Doppler, una obstrucción en el flujo valvular mitral y la falta de movilidad de algún disco de la prótesis3,4. Estos datos ecocardiográficos, recogidos en nuestra paciente a su ingreso en la UCI, fueron de extraordinaria ayuda para tomar una decisión terapéutica urgente.
Con los datos ecocardiográficos anteriormente referidos, se plantea el diagnóstico diferencial entre trombosis o pannus, entendiendo por pannus el crecimiento de tejido fibrótico que puede llegar a producir una disfunción valvular; habitualmente la clínica es de instauración lenta y mucho más tardía desde la intervención que la de la trombosis valvular. Una historia de anticoagulación incorrecta con deterioro clínico relativamente insidioso y final brusco, y una ecodensidad periprotésica similar al miocardio, hablarían más a favor de la trombosis5. Estos datos, presentes en nuestro caso, fueron los que nos hicieron inclinarnos más al diagnóstico de trombosis.
El tratamiento clásico de esta complicación es la cirugía para recambio de la prótesis trombosada, asumiendo mortalidades que oscilan entre el 12% y el 46%, dependiendo de la situación clínica del paciente, pues el éxito se relaciona de forma inversa con la clase funcional de la New York Heart Administration (NYHA)2,6.
Sin embargo, recientes publicaciones ofrecen experiencias en las que la trombolisis se muestra como una seria alternativa a la cirugía en algunos de estos pacientes. El resultado de la trombolisis está igualmente en relación inversa a la clase funcional, y el éxito clínico se consigue en torno al 70% de los casos, siendo este porcentaje mayor en el caso de las prótesis en posición aórtica, y la mortalidad se sitúa alrededor del 10% en las distintas series. Los mayores inconvenientes de esta alternativa son: la complicación tromboembólica sistémica en las prótesis del lado izquierdo, con una incidencia entre el 10%-15%; y la hemorragia grave, con una incidencia menor2,7.
Elegir una u otra opción terapéutica no es fácil y las últimas guías de la American College of Cardiology/American Heart Association (ACC/AHA) no sientan recomendaciones firmes. Un reciente editorial de Alpert8 recomienda siempre fibrinolisis en trombosis de prótesis del lado derecho y en cualquier paciente en situación muy grave (clase III-IV de la NYHA); en pacientes estables, en clase funcional I-II, la decisión de cirugía o fibrinolisis podría ser pactada entre el médico y el paciente; en cualquier caso, estos pacientes deben ser conocidos por el servicio quirúrgico, pues la cirugía puede hacerse necesaria en cualquier momento2,7,9,10. En nuestro caso, teniendo en cuenta un deterioro evidente de facultades intelectuales superiores, tras la cirugía cardíaca previa con circulación extracorpórea, estando la paciente en clase funcional III, y de acuerdo con el servicio de cirugía, optamos inicialmente por el tratamiento fibrinolítico.
Los estudios publicados hasta ahora han utilizado urocinasa, estreptocinasa o rtPA, y parece que con mejores resultados con los dos últimos2. Nosotros utilizamos TNK por ser el fibrinolítico disponible en nuestro medio y en las dosis habitualmente empleadas en el infarto agudo de miocardio. La significativa mejoría hemodinámica en los datos obtenidos mediante ETE tras la primera dosis de TNK, nos animó a repetir la dosis, tal como recomiendan recientes publicaciones con series más amplias2,8. Así mismo, continuamos tratamiento con enoxaparina tras la trombolisis durante una semana, antes de pasar definitivamente a acenocumarol.
Por tanto, aportamos un nuevo caso de trombosis valvular protésica, tratado con éxito mediante el más reciente fibrinolítico en uso (TNK) y sin complicaciones.



