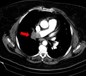
Mujer de 61 años, obesa, hipertensa y con enfermedad pulmonar obstructiva crónica (EPOC) que acudió al Servicio de Urgencias por disnea y dolor pleurítico en hemitórax derecho de 10 días de evolución. Presentaba importante trabajo respiratorio por lo que se inició ventilación mecánica no invasiva (VMNI). La radiografía de tórax fue anodina y el ecocardiograma mostraba un ventrículo derecho dilatado, pero normocontráctil. En la ecografía torácica se observaba una imagen hipoecogénica triangular de base periférica compatible con infarto pulmonar derecho (fig. 1). Se solicitó tomografía axial computarizada (TAC) torácico que evidenció defecto de repleción en arteria pulmonar principal derecha con extensión a ramas lobares, además de afectación alveolar pulmonar en lóbulo superior derecho, sugestivo de infarto pulmonar asociado (fig. 2). La ecografía aporta información extra muy valiosa y en ocasiones esencial para el manejo óptimo de los pacientes. El hallazgo más sugerente en la ecografía torácica de tromboembolismo pulmonar (TEP) es la presencia de lesiones hipoecoicas de forma triangular y base pleural rodeados por una línea pleural de aspecto normal con o sin derrame pleural asociado.
FinanciaciónLos autores declaran no haber recibido ningún tipo de apoyo financiero para la realización del estudio.
Al Servicio de Medicina Intensiva del Hospital Clínico Lozano Blesa.
 
										
				





 
 
		