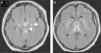
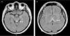
Varón de 23 años, con antecedentes de pancreatitis biliar hace un mes y colecistectomizado hace una semana, presenta historia de 2 días de fiebre, mareo, confusión y debilidad muscular marcada en miembros inferiores por lo que ingresa a planta de medicina interna. En la exploración física se observa signos de deshidratación y se descartó complicación posquirúrgica. Tomografía de cerebro y abdomen normal. Al día siguiente evoluciona con somnolencia, cuadriparesia, hiporreflexia seguido de estupor e inestabilidad hemodinámica por lo que ingresa a Unidad de Terapia Intensiva; se inició tratamiento empírico con meropenem y vancomicina. Se realiza resonancia magnética de cerebro que reveló lesiones hiperintensas en tronco cerebral, fórnix y tálamo bilateral (figs. 1 A y B, flechas blancas), sin desplazamiento de línea media. El diagnóstico diferencial incluyó vasculitis, herpes, tuberculosis y toxoplasmosis. El estudio citológico bioquímico de líquido cefalorraquídeo se mostró inespecífico y en estudio de biología molecular por PCR se detectó ARN del virus del Zika. Se inicia tratamiento inmunomodulador con inmunoglobulina humana (IgG), a los 5 días se realiza nueva resonancia magnética que evidencia progresión de lesiones a pedúnculos cerebrales y núcleos de la base (figs. 2 C y D, fechas blancas) seguido de disfunción orgánica múltiple y muerte.
FinanciaciónLos autores declaran no haber recibido apoyo financiero.




