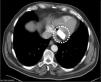
Paciente de 79 años, con AP de tumor torácico. Ingresó por síndrome coronario agudo con elevación de ST (SCACEST) secundario a enfermedad de 3 vasos, precisando revascularización. En la ecocardiografía transtorácica (ETT) se objetivó, a nivel de válvula mitral, una imagen hiperecogénica con ecolucencia interior adherida al velo posterior, de aproximadamente 3×3mm que no comprometía el llenado mitral, pero sí dejaba insuficiencia mitral leve (fig. 1). Se descartó, por las características morfológicas, TAC y contexto clínico: tumoración, verruga, absceso o trombo a nivel mitral, diagnosticándose de degeneración caseosa de la válvula mitral (DCAM) (fig. 2). La DCAM es un hallazgo infrecuente observado de forma casual tras una ETT; suele ser asintomática, aunque puede provocar complicaciones inesperadas y graves, su tratamiento es habitualmente conservador.
ETT: En la imagen de la izquierda (plano longitudinal eje largo de VI) se observa una gran tumoración dependiente del velo posterior de la válvula mitral (flechas), de aspecto hiperecogénico de márgenes bien definidos con ecolucencia interior correspondiente a una DCAM. En la figura de la derecha (plano longitudinal eje corto del VI) se aprecia como la imagen descrita afecta exclusivamente al velo posterior de la válvula (flecha).




