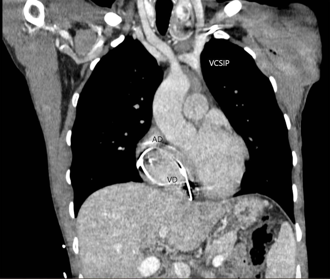
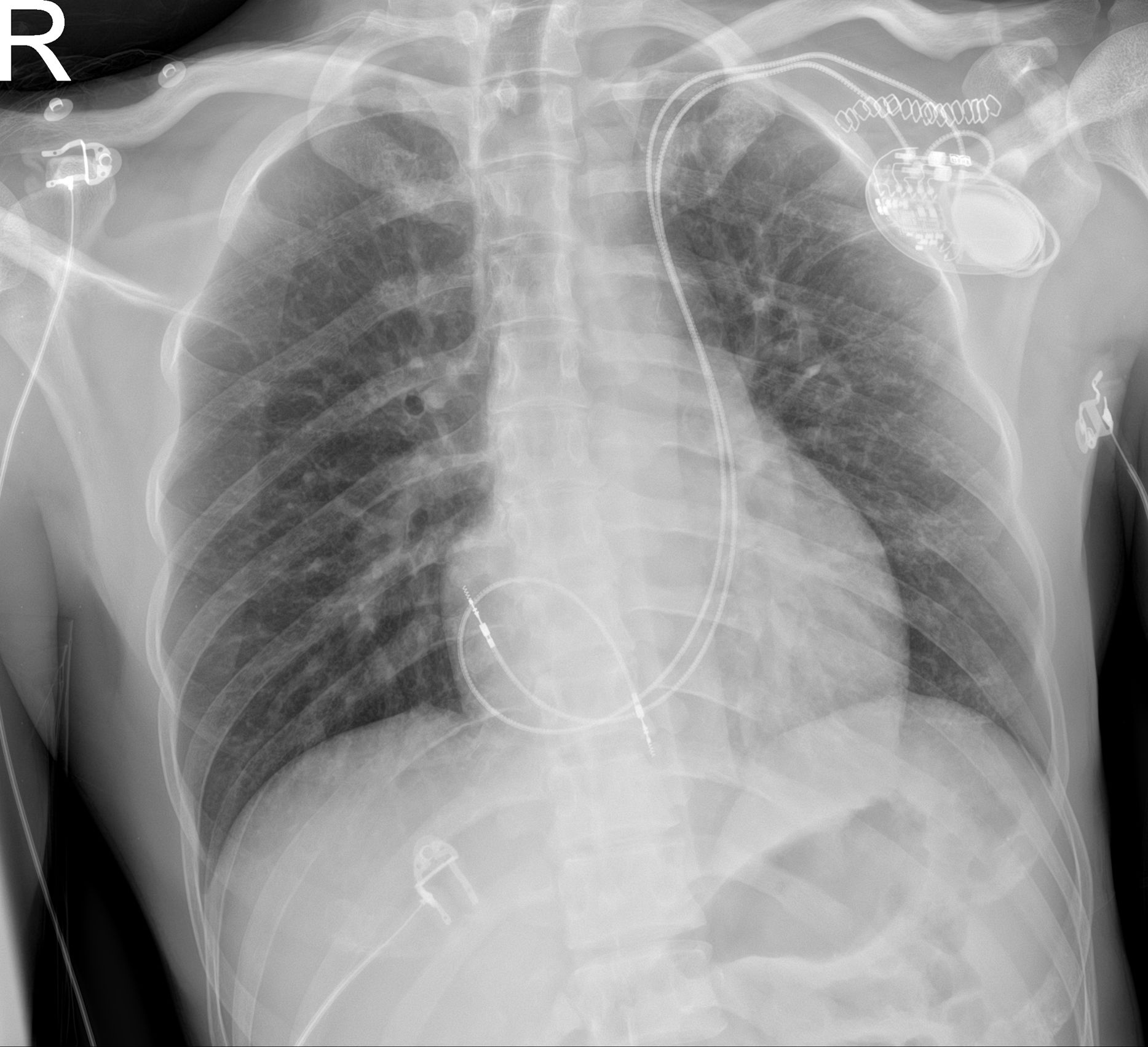
Varón de 31 años con bloqueo bifascicular alternante con bloqueo auriculoventricular completo sintomático con ecocardiograma normal. Se realiza implante de marcapasos definitivo a través de la vena subclavia izquierda, y al introducir la guía metálica se objetiva una vena cava superior izquierda persistente (VCSIP) única, comprobada mediante flebografía y tomografía. La VCSIP desemboca en el seno coronario (SC) y este en la aurícula derecha (AD); se implantaron los electrodos auricular y ventricular derecho (VD) de fijación activa mediante vía retrógrada por el SC (figs. 1 y 2).
Una VCSIP sin cardiopatía asociada se encuentra en el 0,1-0,3% de individuos, y se diagnostica habitualmente en el curso de procedimientos endovasculares; se ha descrito disfunción del nódulo sinusal en probable relación con alteración en su desarrollo e hipoplasia; el tejido del nodo AV suele estar alterado debido al gran tamaño del ostium del SC; estas alteraciones pueden facilitar el bloqueo auriculoventricular.
FinanciaciónNo se ha recibido ninguna financiación para este artículo.
Conflicto de interesesNo existen conflictos de intereses por parte de ningún autor de este artículo.




