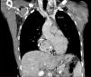
A 31-year-old male presented with alternating bifascicular block with symptomatic complete atrioventricular block and a normal echocardiogram. A permanent pacemaker was implanted through the left subclavian vein. Upon inserting the guidewire, a single persistent left superior vena cava (PLSVC) was identified and verified using phlebography and tomography. The PLSVC flows into the coronary sinus (CS), and into the right atrium (RA). The atrial and right ventricular (RV) active fixation electrodes were implanted retrogradely through the CS (see Figs. 1 and 2).
A PLSVC without associated heart disease is found in 0.1-0.3% of individuals and is usually diagnosed in the course of endovascular procedures. Sinus node dysfunction has been described as possibly related to altered sinus node development and hypoplasia. The AV node tissue is usually altered due to the large size of the CS ostium. These alterations may potentially contribute to atrioventricular block.
Financial supportNo funding was received for this article.
The authors of this article have no conflicts of interest.


