Varón de 50 años con antecedentes de enfermedad inflamatoria intestinal, que acude al servicio de urgencias por cuadro de dolor abdominal y fiebre de varias horas de evolución. Aproximadamente 24 h antes fue sometido a colonoscopia para realizar dilatación de estenosis en el colon descendente-sigma.
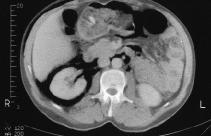
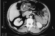
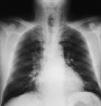
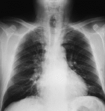
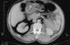
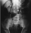
En la exploración física destacaban dolor a la palpación en FII y enfisema subcutáneo más pronunciado en hemiabdomen derecho. En la serie radiológica se incluyó: radiografía de abdomen (fig. 1) y de tórax (fig. 2) así como tomografía computarizada abdominal con ventana normal (fig. 3) y ventana modificada (fig. 4), evidenciándose retroneumoperitoneo bilateral con extensión a partes blandas (región del cuello).
Fig. 1.
Fig. 2.
Fig. 3.
Fig. 4.
Se inició tratamiento con antibioterapia, dieta absoluta, tratamiento de su enfermedad de base y vigilancia intensiva, con lo que se resolvió el cuadro sin complicaciones tanto radiológica como clínicamente, siendo dado de alta a los 10 días de su ingreso.






