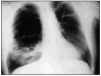
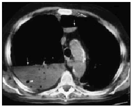
Varón de 60 años, diabético y con insuficiencia respiratoria crónica por enfisema pulmonar que ingresa por una neumonía en el lóbulo medio derecho. Se inició tratamiento con broncodilatadores inhalados, una cefalosporina de tercera generación y un macrólido, con mejoría inicial. En la tercera semana, ante la persistencia de cuadro febril, se realizó una radiografía de tórax (fig. 1) en la que se observa un infiltrado en el pulmón derecho de gran tamaño y con nivel hidroaéreo, por lo que se le añadió un antibiótico anaerobicida. En una TC torácica se observaba la lesión ya conocida (fig. 2. flecha izquierda) y otra pequeña imagen redondeada, con nivel hidroaéreo en su interior, en el espacio prevascular (fig. 2. flecha derecha). El fluido contenido en la lesión mayor era más denso que el agua y tenía burbujas de gas en su interior (fig. 2 punta de flecha). En un cultivo de esputo se cultivó Pseudomonas aeruginosa multisensible. Tras un acceso de tos, en una nueva radiografía de tórax (fig. 3) desaparece el infiltrado derecho, diseminándose la infección pulmonar, falleciendo el paciente días después en situación de shock séptico. Se estableció el siguiente diagnóstico: bullas pulmonares infectadas; bronconeumonía bilateral por P. aeruginosa.
Fig. 1.
Fig. 2.
Fig. 3.





