Sr. Director:
La colangitis obstructiva supurada es la forma de presentación clínica más grave de las infecciones bacterianas de las vías biliares, su mortalidad es alta (25%)1 y habitualmente se asocia a abscesos hepáticos múltiples y sepsis. La pileflebitis con trombosis secundaria de la porta es una complicación infrecuente, pero cuando ambos procesos coexisten la mortalidad es de un 50-80%2.
Presentamos el caso de una mujer de 78 años que tenía como único antecedente una colecistectomía laparoscópica en 1992 por colecistitis crónica. Nueve días antes del ingreso presenta un cuadro afebril de dolor epigástrico posprandial continuo, irradiado al hipocondrio derecho, acompañado de náuseas y vómitos alimenticios. Empeora progresivamente su estado general y comienza con ictericia y fiebre en los 4 días previos al ingreso.
Llega al hospital con bajo nivel de conciencia y la exploración física muestra una PA de 100/60 mmHg, una temperatura de 37,9 °C e ictericia mucocutánea. La auscultación cardiopulmonar fue normal y el abdomen era blando, depresible y difusamente doloroso a la palpación. Se seda y somete a ventilación mecánica. En la analítica de rutina destaca: hemoglobina 10,1 g/dl, 37,32 ´ 109/l leucocitos con neutrofilia y desviación izquierda, trombopenia de 88 ´109/l plaquetas, tiempo de protrombina de 23,4 s, urea 139 mg/dl, creatinina 2,5 mg/dl, bilirrubina 8,9 mg/dl, LDH 937 U/l, GOT 245 U/l y GPT 151 U/l. Calcemia y amilasemia normal.
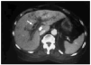
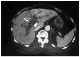
Se realizó una ecografía abdominal que demostró una dilatación de la vía biliar intra y extrahepática con material ecogénico en su interior y datos sugestivos de trombosis de la vena porta. Se realiza una TC abdominal que confirma los hallazgos ecográficos e identifica imágenes compatibles con abscesos intrahepáticos múltiples (fig. 1).
Fig. 1. TC abdominal con imágenes compatibles con abscesos múltiples intrahepáticos.
Iniciamos antibioterapia empírica con piperacilina/tazobactam y anticoagulación con heparina i.v. Pocas horas después del ingreso la paciente presenta un deterioro hemodinámico y un fracaso renal agudo. Se inicia soporte inotrópico y hemodiafiltración venovenosa continua.
Se decide realizar colangiopancreatografía retrógrada endoscópica (ERCP), evidenciándose una coledocolitiasis, por lo que se efectúa esfinterectomía a través de la cual se drena abundante material purulento de la vía biliar. Tanto en el cultivo de bilis como en los hemocultivos extraídos al ingreso crecen colonias de Serratia marcescens y Klebsiella oxytoca.
Ya que no hay mejoría clínica se decide realizar una laparotomía urgente, demostrándose la resolución de la obstrucción de la vía biliar y la ausencia de signos de sufrimiento de las asas intestinales en relación con la trombosis portal. Se deja tubo en T en la vía biliar a través de coledocotomía, pero a pesar de todo se desarrolla un fracaso multiorgánico que conduce al fallecimiento de la paciente.
La causa más frecuente de la colangitis obstructiva es la coledocolitiasis y los abscesos intrahepáticos múltiples son una complicación frecuente que aparece en las formas más graves de la enfermedad; sin embargo, la asociación de trombosis de la vena porta es muy rara, pero cuando se presenta, a la gravedad del cuadro inicial hay que añadir el riesgo de isquemia mesentérica, por lo que debe ser instaurada precozmente anticoagulación con heparina intravenosa3.
La ecografía y ERCP conducen conjuntamente al diagnóstico y son pruebas que deben ser realizadas precozmente, ya que el retraso en diagnosticar y tratar estos cuadros se asocia a fallo hepático y renal4. La ERCP con esfinterotomía es de elección para la descompresión de la vía biliar, por ser una técnica segura y eficaz y tan efectiva como otros métodos quirúrgicos5.
En un trabajo publicado por Siegel et al5 sobre el manejo endoscópico de la colangitis un 28% de los pacientes con dicha enfermedad y sepsis no respondieron al tratamiento médico, y de éstos un 2,85% precisó ingreso en UCI por inestabilidad. Ramírez et al1 comunican que la coledocolitiasis fue el hallazgo más común en la ERCP (34,4%).
La descompresión quirúrgica urgente del tracto biliar se reserva para pacientes que no responden a otros procedimientos, ya que la intervención urgente en enfermos con colangitis aguda se asocia a una mortalidad del 21 al 40%6.
La colangitis supurada obstructiva aguda es una entidad grave con una mortalidad muy alta, sobre todo cuando se demora el diagnóstico. Su tratamiento se basa en antibioterapia y drenaje de la vía biliar. Cuando se asocia a trombosis de la porta, como en nuestro caso, además es necesario instaurar anticoagulación con heparina intravenosa para evitar la progresión de la trombosis hacia el territorio de la vena mesentérica superior y la isquemia intestinal secundaria.



