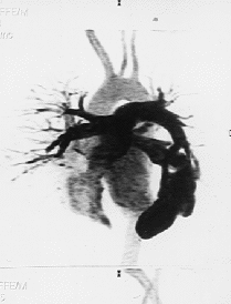
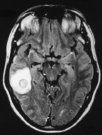
Varón de 43 años, con antecedentes de síndrome de Rendú-Osler (SRO), que ingresó en el servicio de cuidados intensivos tras haber sido sometido a neurocirugía por ser portador de un absceso cerebral único. El paciente manifestó haber comenzado hace un mes con episodios de hipertermia y convulsiones aisladas, por lo que se le practicó una resonancia magnética en la que se visualizaba una imagen en el área temporoparietal derecha (fig. 1). Debido al antecedente de SRO, la presencia de hipoxemia refractaria al suministro de oxígeno y la asociación del síndrome con fístulas arteriovenosas, se le practicó una angiorresonancia magnética pulmonar que mostró la presencia de una gran fístula arteriovenosa pulmonar (fig. 2) que corroboraba las manifestaciones clínicas desarrolladas por el paciente. Fue tratado con antibióticos y derivado al servicio de hemodinamia intervencionista para embolización de la fístula como tratamiento definitivo.
Fig. 1.
Fig. 2.




