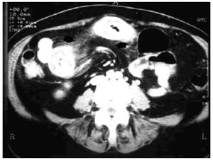
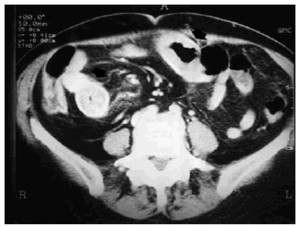
Paciente de 72 años, con antecedentes de hipertensión arterial y fibrilación auricular crónica, hipocoagulada con acenocumarol. Consulta por dolor abdominal cólico en mesogastrio, náuseas y vómitos, presentando en la exploración discreta distensión abdominal y extensa equimosis en la pierna derecha como únicos hallazgos relevantes. El INR inicial fue de 11; tras administrar plasma y vitamina K parenteral el INR se redujo a 1,8. La hemoglobina inicial fue de 11,5 g/dl, con valor valle de 8,2 g/dl a las 24 h. En la tomografía axial computarizada abdominal (figs. 1 y 2) se observó líquido libre perihepático y en pelvis, así como un largo trayecto de asa de intestino delgado con paredes engrosadas (flechas), compatible con hemorragia intestinal intramural. La paciente evolucionó de forma satisfactoria con tratamiento conservador, incluyendo fluidoterapia, analgésicos y aspiración nasogástrica, sin incidencias posteriores. El diagnóstico fue de hemorragia intramural intestinal, sobredosificación por acenocumarol.
Figura 1
Figura 2




