Varón de 29 años que ingresa en la unidad de cuidados intensivos tras sufrir una caída accidental desde una altura de unos 20 m, aproximadamente.
Llega a urgencias consciente, ligeramente desorientado, refiriendo dolor intenso dorsal. En la exploración neurológica presenta únicamente una disminución de la fuerza de psoas y cuádriceps izquierdo (4/5).
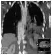
La tomografía computarizada (TC) torácica objetiva fractura-luxación de D7-D8 con hematoma prevertebral y disminución del canal raquídeo en la fractura.
Recibe cuidados de lesionado medular, metilprednisolona i.v. y se mantiene sedado y en ventilación mecánica hasta su intervención quirúrgica, en la que se realiza artrodesis desde D4 a D10.
Evoluciona favorablemente y al alta se encuentra sin focalidad neurológica.




