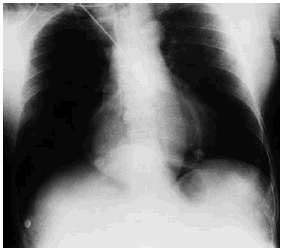
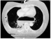
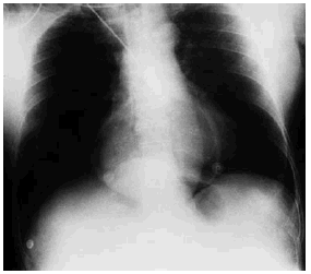
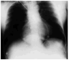
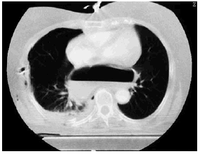
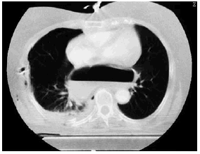
Mujer de 72 años sin antecedentes de interés, que ingresó en la Unidad de Cuidados Intensivos tras politraumatismo secundario a atropello. En los estudios radiológicos simples se objetivó fracturas de ambos fémures y de cúbito derecho, así como fracturas costales derechas junto con neumotórax y contusión pulmonar ipsilateral. Llamó la atención en la radiografía simple de tórax la presencia de una burbuja de aire a nivel centromediastínico (fig. 1). En la tomografía de tórax se observó que parte del estómago se encontraba en el tórax, retrocardíaco (fig. 2). El antro gástrico era intratorácico y aparentemente el fundus se encontraba infradiafragmático (fig. 3), lo cual fue interpretado como hernia paraesofágica postraumática. La paciente fue intervenida quirúrgicamente de urgencia; el estómago estaba contenido en un gran saco herniario con un vólvulo mesenterio axial. Había un gran orificio diafragmático. Se procedió a la reducción y devolvulación, así como a la extirpación del saco peritoneal, con funduplicatura de 360° y oclusión posterior del orificio hiatal. La paciente evolucionó favorablemente, y fue dada de alta de la UCI a los cinco días del ingreso.
Figura 1.
Figura 2.
Figura 3.
										
				




 
		