Sr. Director:
Aunque las heparinas de bajo peso molecular (HBPM) son seguras, más fáciles de administrar, no precisan de monitorización de laboratorio y producen menos activación plaquetaria que la heparina no fraccionada, su administración no está exenta de complicaciones que pueden ser graves y que cada vez se describen con más frecuencia, principalmente por su uso en dosis elevadas en pautas de anticoagulación. La enoxaparina en el tratamiento del síndrome coronario agudo ha demostrado la misma eficacia que la heparina no fraccionada, siendo el riesgo de hemorragia mayor aproximadamente del 1% con cada una de ellas1. Describimos un caso de un paciente de 78 años que presentó un hematoma retroperitoneal asociado al uso de enoxaparina para el tratamiento de un síndrome coronario agudo sin elevación del segmento ST, que evolucionó favorablemente con tratamiento conservador.
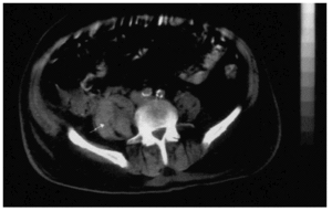
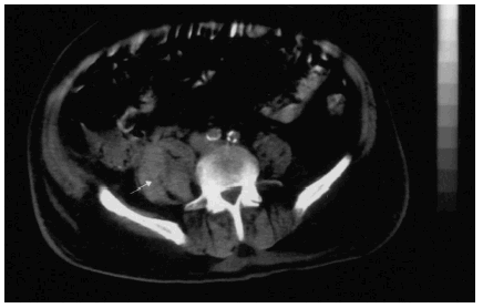
Paciente varón de 78 años con antecedentes de enfermedad coronaria multivaso, infarto de miocardio de cara inferior, diabetes mellitus tipo 2, dislipemia y procesos catarrales frecuentes asociados a hiperreactividad bronquial que ingresó en nuestro servicio por un cuadro de angina inestable. Su tratamiento habitual consistía en aspirina (100 mg/día) y diltiacem en preparado retard (180 mg/12 h). A su ingreso la exploración física no mostró datos de interés salvo una presión arterial de 160/80 mmHg; el hemograma con recuento plaquetario y el estudio de coagulación fueron normales; la bioquímica no presentaba datos relevantes: troponina I, 0,2 ng/ml (normalidad, < 1,5 ng/ml), y fracción de la MB-masa de la creatin-fosfocinasa: 1,2 ng/ml (normalidad, < 3,2 ng/ml). Se inició tratamiento con atenolol oral, nitroglicerina en perfusión intravenosa, enalapril oral, aspirina y enoxaparina a las dosis recomendadas para los síndromes coronarios sin elevación del ST, en nuestro caso 80 mg subcutánea cada 12 h. En los tres días siguientes presentó varios episodios anginosos y desarrolló un IAM no Q, una insuficiencia renal con creatinina de 2 mg/dl con un aclaramiento de 66,7 ml/min y un cuadro de hiperreactividad bronquial, que se resolvió en 48 h con broncodilatadores inhalados y corticoides intravenosos. En el séptimo día de estancia en nuestra unidad, en los hemogramas seriados se detectó una caída de las cifras de hemoglobina hasta 8,5 g/dl con aparición de equimosis en el flanco abdominal derecho, por lo que se le solicitó una tomografía axial computarizada abdominal en la que se evidenció un hematoma retroperitoneal que infiltraba el músculo psoas derecho (fig. 1). Decidimos mantener tratamiento antitrombótico con aspirina disminuyendo la dosis de enoxaparina s.c. a 20 mg/día y se le transfundieron dos concentrados de hematíes, tras lo cual el paciente permaneció estable. Se le realizó coronariografía que mostró una enfermedad coronaria multivaso no revascularizable, con buena función ventricular, por lo que fue dado de alta en tratamiento con aspirina, atenolol, nitratos tópicos y amlodipino.
Figura 1. Hematoma retroperitoneal (flecha) de pequeño volumen que infiltra el músculo psoas derecho.
Se han descrito cinco casos de hematoma retroperitoneal asociados a la utilización de HBPM: uno en relación con la dalteparina y los otros cuatro casos vinculados a la enoxaparina2-4. En un paciente además se administró, juntamente con la enoxaparina tirofibán, un antagonista de los receptores plaquetarios IIb/IIIa2. En la publicación más reciente4 se describen dos casos de hematomas retroperitoneales que provocaron un síndrome compartimental abdominal que se resolvió, tras su evacuación quirúrgica, con dosis de enoxaparina de 1 mg/kg s.c. dos veces al día, pautada como anticoagulación en el contexto de una enfermedad médica grave no cardiológica. Tanto nuestro paciente como el caso descrito por Montoya et al3 y los dos descritos por Dabney et al4 presentaban una insuficiencia renal. Dado que la ruta primaria de eliminación de las HBPM es la vía renal pueden acumularse incluso en pacientes con leves descensos del aclaramiento de creatinina, sobre todo si el tratamiento es prolongado5. A este alargamiento de la vida media de la HBPM, además, podría añadirse que la insuficiencia renal es por sí misma un factor de riesgo hemorrágico. Se ha comprobado también que la disminución fisiológica del filtrado glomerular asociada al envejecimiento comporta una alteración de la farmacodinamia de las HBPM con acumulación de actividad anti-Xa.
Cualquier médico que utilice las HBPM, sobre todo con las dosis recomendadas para la anticoagulación, debe conocer esta complicación grave y vigilar cualquier disminución del hematócrito no explicada. Se recomienda la monitorización del grado de actividad antifactor-Xa en pacientes con insuficiencia renal y ancianos, sabiendo que la neutralización de los efectos de las HBPM con protamina es incompleta. En estos pacientes posiblemente sea más segura y fácil la anticoagulación con heparina no fraccionada, ya que la medición del tiempo parcial de tromboplastina activada es de uso más frecuente y de mayor disponibilidad.
										
				


 
		