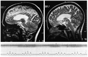
Mujer de 32 años, diagnosticada a los 18 de esclerosis múltiple, que ha cursado de manera recurrente-remitente. En un brote aparecido en febrero de 2001 presentaba, en la resonancia magnética nuclear (RMN), una pequeña lesión nodular hiperintensa localizada en la protuberancia (fig. 1 izda.). En abril de 2002 presenta un brote manifestado por trastorno de la marcha y diplopía horizontal, que evolucionó desfavorablemente hasta presentar hemiparesia izquierda, disartria, incontinencia, crisis tonicoclónicas generalizadas y finalmente coma, por lo que la paciente precisó de ingreso en la UCI. Se realizó una RMN que reveló múltiples áreas de lesión neuronal en protuberancia y mesencéfalo (fig. 1 dcha.). La paciente fue tratada con inmunoglobulinas y plasmaféresis permaneciendo durante todo el ingreso en coma, con GCS 10T y con respiración de Cheyne-Strokes con pausas de apnea de 4-6 s (fig. 1 abajo).
El factor de impacto mide la media del número de citaciones recibidas en un año por trabajos publicados en la publicación durante los dos años anteriores.                                            
© Clarivate Analytics, Journal Citation Reports 2025                    
                
SJR es una prestigiosa métrica basada en la idea de que todas las citaciones no son iguales. SJR usa un algoritmo similar al page rank de Google; es una medida cuantitativa y cualitativa al impacto de una publicación.
Ver másSNIP permite comparar el impacto de revistas de diferentes campos temáticos, corrigiendo las diferencias en la probabilidad de ser citado que existe entre revistas de distintas materias.
Ver más
										
				


 
		