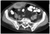
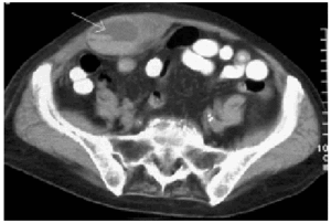
Mujer de 80 años, con antecedentes de hipercolesterolemia, que ingresó en la unidad de cuidados intensivos por presentar dolor epigástrico irradiado al cuello y acompañado de signos vegetativos. En el electrocardiograma se apreció elevación del segmento ST en la cara anterolateral compatible con infarto agudo de miocardio. Se realizó tratamiento fibrinolítico con TNK, heparina sódica, nitroglicerina y ácido acetilsalicílico. A las 60 h se suspendió la heparina sódica y se inició tratamiento con enoxaparina. A la semana de evolución se inició un dolor abdominal en la fosa ilíaca derecha, presentando en la exploración dolor a la palpación superficial y signo de Blumberg positivo. Se realizó una TAC abdominal donde se apreció hematoma con nivel, localizado en los rectos anteriores (fig. 1). La paciente fue tratada de forma conservadora con analgesia, suspensión de la enoxaparina y transfusión de concentrado de hematíes. La evolución posterior fue satisfactoria.
Figura 1
										
				


 
		