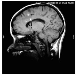
Mujer de 18 años de edad que ingresa con una puntuación en la escala de coma de Glasgow (CGS) de 5 por traumatismo craneoencefálico tras un accidente de tráfico. La tomografía computarizada (TC) realizada al ingreso mostró pequeñas contusiones hemorrágicas frontales y temporales izquierdas, pequeño sangrado interhemisférico anterior y ventricular izquierdo, hemorragia subaracnoidea en convexidad y edema difuso. Se iniciaron medidas estándar para el tratamiento de la hipertensión intracraneal hasta constatarse el control de la presión intracraneal y la disminución del tamaño de las contusiones y el edema cerebral. La evolución neurológica de la paciente no fue favorable, mantuvo una GCS de 9 puntos que no se justificó con los hallazgos radiológicos descritos hasta el momento. Se realizó una resonancia magnética craneal en la que se observaron una lesión intraparenquimatosa (indicada con 1 en la imagen), ya objetivada en la TC, y 2 lesiones hemorrágicas en el cuerpo del cuerpo calloso y perpendiculares a los ventrículos (indicada con 2 en la imagen), posiblemente por mecanismo de cizallamiento, compatibles con el diagnóstico de lesión axonal difusa. Después de 28 días de ingreso en la unidad de cuidados intensivos, la paciente presenta una GCS de 10 puntos, con apertura ocular espontánea, respuesta motora de localización al dolor y ausencia de respuesta verbal.
El factor de impacto mide la media del número de citaciones recibidas en un año por trabajos publicados en la publicación durante los dos años anteriores.
© Clarivate Analytics, Journal Citation Reports 2025
SJR es una prestigiosa métrica basada en la idea de que todas las citaciones no son iguales. SJR usa un algoritmo similar al page rank de Google; es una medida cuantitativa y cualitativa al impacto de una publicación.
Ver másSNIP permite comparar el impacto de revistas de diferentes campos temáticos, corrigiendo las diferencias en la probabilidad de ser citado que existe entre revistas de distintas materias.
Ver más



