Un varón de 83 años de edad fue operado de suboclusión intestinal aguda. Bajo anestesia general, se llevó a cabo la liberación de la brida sin tener que realizase resección intestinal. Tras la cirugía, se insertó la sonda nasogástrica por vía nasal antes de trasladar al paciente a la unidad de cuidados intensivos y se comprobó su colocación escuchando un bolo de aire de 30cc inyectado con jeringa a través de la misma.
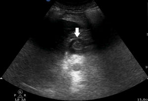
Pocos días después, el paciente inició un dolor abdominal severo (8 escala EVA). A la exploración, el abdomen estaba distendido y timpánico. La sonda nasogástrica se colocó en aspiración, pero fue improductiva. Se realizó una ecografía abdominal colocando la sonda transversal en región abdominal entre espigastrio y mesogastrio. Ahí se visualizó el antro gástrico dilatado, con contenido (ecogénico) y sin peristaltismo (fig. 1). El estudio se completó con TAC abdominal que confirmó la gran dilatación gástrica (fig. 2) y la presencia de la sonda nasogástrica en esófago. Se recolocó dicha sonda nasogástrica en aspiración, obteniéndose 1,5 litros de contenido gástrico. Tras ello, se comprobó en la misma ventana abdominal referida de ecografía, que el estomago estaba vacío a través del signo del ojo de buey (fig. 3). El paciente fue dado de alta después de 6 días.
La ecografía se ha convertido en una herramienta esencial para manejar múltiples situaciones en el paciente crítico. Invertir unos segundos para comprobar la correcta colocación de la sonda nasogástrica en el estómago con una ecografía puede prevenir el empleo de pruebas invasivas e innecesarias en nuestros pacientes.
FinanciaciónLos autores declaran no haber recibido ningún tipo de apoyo financiero para la realización del estudio.
Al Servicio de Medicina Intensiva de la Clínica Rotger.





