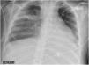
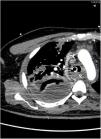
Un varón de 38 años sin antecedentes médicos relevantes, fue hospitalizado en la unidad de cuidados intensivos con fiebre y síntomas respiratorios inespecíficos, que progresaron rápidamente a insuficiencia respiratoria grave, shock séptico y fracaso multiorgánico. Requirió soporte vasopresor, ventilación invasiva y tratamiento antibiótico con penicilina, clindamicina y linezolid al aislar Streptococcus pyogenes en muestras respiratorias y hemocultivos. A pesar del tratamiento, persistieron la fiebre, al igual que una consolidación en la radiografía de tórax (fig. 1, flecha). La tomografía computarizada reveló necrosis (fig. 2, estrella) y absceso (fig. 2, flecha) pulmonar en el lóbulo superior derecho. Este caso destaca una presentación grave de infección invasiva por S. pyogenes, resaltando la necesidad de considerar esta etiología en el diagnóstico diferencial, incluso en pacientes sin factores de riesgo conocidos.
FinanciaciónLa presente investigación no ha recibido ayudas específicas provenientes de agencias del sector público, sector comercial/privado o entidades sin ánimo de lucro.
Declaración sobre el uso de inteligencia artificialEn el proceso de redacción durante la preparación de este trabajo, los autores, utilizaron ChatGPT para mejorar el lenguaje y la legibilidad. Después de usar esta herramienta, los autores, revisaron y editaron el contenido según fuera necesario y asumen la plena responsabilidad por el contenido de la publicación.




