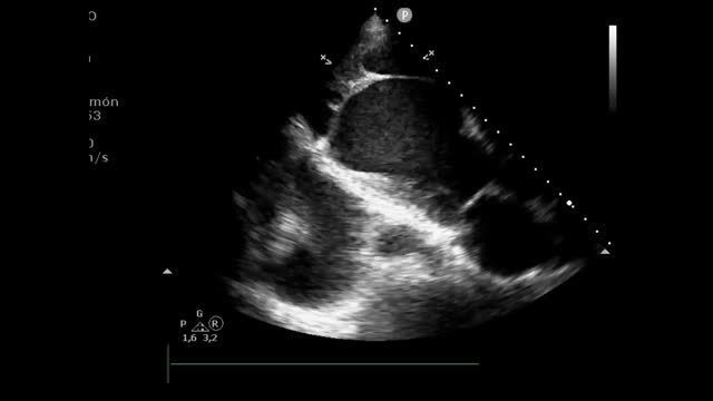
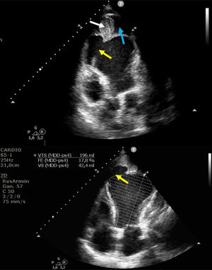
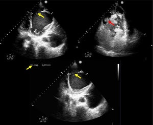
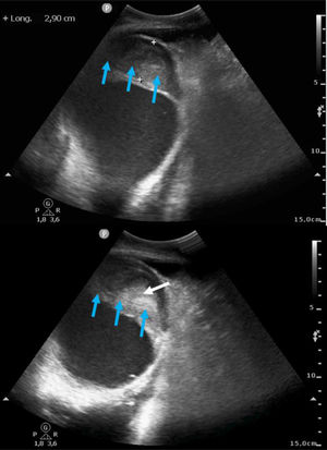
Presentamos el caso de una paciente de 61años con infarto de miocardio evolucionado hace un mes, que presentó complicaciones mecánicas postinfarto. La ecocardiografía evidenció un pseudoaneurisma apical de gran tamaño (fig. 1 y fig. 3: fecha azul) (Vídeo Anexo 1), con cuello de 2,93cm (fig. 1 y fig. 2: flecha amarilla) y paso de ecocontraste libre a su través (fig. 2: fecha roja), con la luz parcialmente trombosada (fig. 1 y fig. 3: fecha blanca). Se observó también un ventrículo izquierdo severamente dilatado y disfunción sistólica global muy severa (fig. 1) (FEVI 11%, IVT TSVI 7cm). A las 48horas de ingreso la paciente desarrolló shock cardiogénico SCAIC-D, que requirió soporte mecánico con ECMOV-A y balón de contrapulsación intraaórtico, logrando una notable mejoría de la perfusión orgánica. Tras coordinación con el hospital de referencia, fue trasplantada cardiaca código0, con una recuperación favorable. Este caso destaca la importancia del diagnóstico ecocardiográfico y el manejo con soporte mecánico en situaciones críticas de shock cardiogénico.
FinanciaciónNo disponemos de financiación.
Conflicto de interesesNo hay conflicto de intereses.





