Sugerencias
Compartir
Información de la revista
Vol. 49. Núm. 12.
(Diciembre 2025)
Compartir
Descargar PDF
Más opciones de artículo
Vol. 49. Núm. 12.
(Diciembre 2025)
Imágenes en Medicina Intensiva
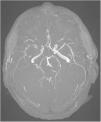
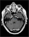
Vasculitis primaria del sistema nervioso central. Una enfermedad rara con alta mortalidad
Primary central nervous system vasculitis. A rare disease with high mortality
Visitas
188
María Teresa Belmonte Alcaraza,
Autor para correspondencia
maitebelmonte@hotmail.com

Autor para correspondencia.
, Diego Martínez Garcíab,c, Carola Giménez-Esparza Vicha
a Departamento de Medicina Intensiva, Hospital Vega Baja, Orihuela, Alicante, España
b Departamento de Radiología, Hospital Vega Baja, Orihuela, Alicante, España
c Health Sciences PhD Program, Universidad Católica de Murcia UCAM, Murcia, España
Este artículo ha recibido
Información del artículo
Texto completo
Descargar PDF
Estadísticas
Figuras (3)
Mostrar másMostrar menos
Material adicional (4)
Suplemento especial
Este artículo forma parte de:
El paciente neurocrítico

Editado por: el Dr. Juan Antonio Llompart Pou
Médico especialista en Medicina Intensiva, Doctor en Ciencias de la Salud por la Universitat Illes Balears. Servicio de Medicina Intensiva, UCI Trauma y Neurocríticos, Hospital Universitari Son Espases. Palma, España.

Última actualización: Diciembre 2025

Más datos

Artículo

Opciones para acceder a los textos completos de la publicación Medicina Intensiva
Socio
Si es usted socio de la Sociedad Española de Medicina Intensiva, Crítica y Unidades Coronarias:
Diríjase al área de socios de la web de la SEMICYUC (www.semicyuc.org ) y pulse el enlace a la revista.
Suscriptor
Suscriptor de la revista

Si ya tiene sus datos de acceso, clique aquí.

Si olvidó su clave de acceso puede recuperarla clicando aquí y seleccionando la opción "He olvidado mi contraseña".
Suscribirse
Suscribirse a:

Medicina Intensiva

Comprar
Comprar acceso al artículo

Comprando el artículo el PDF del mismo podrá ser descargado

Comprar ahora
Contactar
Teléfono para suscripciones e incidencias
De lunes a viernes de 9h a 18h (GMT+1) excepto los meses de julio y agosto que será de 9 a 15h
Llamadas desde España
932 415 960
Llamadas desde fuera de España
+34 932 415 960
Email
Idiomas
Medicina Intensiva
Opciones de artículo
Herramientas
Material suplementario