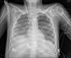
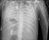
Mujer de 19 años, con antecedente de miopatía de Steinert, intubada por distrés respiratorio grave tras laparotomía exploradora por seudooclusión intestinal. En aspirado traqueal, E.coli sin mecanismos de resistencia. Muy mala mecánica pulmonar (compliance inferior a 2ml/cmH2O) y sin respuesta a maniobra de prono, se canula ECMO veno-venoso y, ante las altas presiones en la vía aérea con 4ml/kg de peso ideal, se cambia ventilación por ventilación con liberación de presión en la vía aérea (APRV): presión alta 15cmH2O; tiempo alto 6s; tiempo bajo 0,3s. Inicialmente 10ml de volumen espirado. La evolución radiográfica se muestra en las imágenes (fig. 1: día0; fig. 2: día2; fig. 3: día5). Este caso es un ejemplo de cómo la ventilación por APRV mientras aseguramos el intercambio gaseoso con el ECMO puede ser útil en el manejo de pacientes con distrés respiratorio refractario.
FinanciaciónEste artículo no ha recibido financiación externa ni de organismos públicos ni privados.
Conflicto de interesesNinguno.


