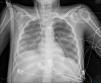
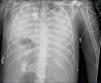
A 19-year-old woman, with a past medical history of Steinert's myotonic dystrophy, intubated due to severe respiratory distress after an exploratory laparotomy for intestinal pseudo-obstruction. In tracheal aspirate, Escherichia coli without resistance mechanisms. Very poor pulmonary mechanics (compliance < 2 mL/cmH2O) and no response to prone positioning, veno-venous ECMO is cannulated, and given the high airway pressures with 4 mL/kg of ideal body weight, ventilation is switched to airway pressure release ventilation (APRV): high pressure 15 cmH2O; high time 6 s; low time 0.3 s. Initially 10 mL of exhaled volume. Radiographic progression is shown in the images (Fig. 1: day 0; Fig. 2: day 2; Fig. 3: day 5). This case is an example of how APRV ventilation while ensuring gas exchange with ECMO can be useful in the management of patients with refractory respiratory distress.
FundingNone declared.
None declared.


