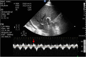
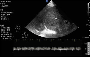
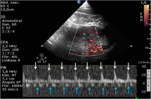
Varón de 86 años ingresado en UCI por insuficiencia cardíaca derecha (ICD) secundaria a comunicación interauricular tras implante de Mitraclip®, hipertensión pulmonar crónica grave, fracaso renal agudo y elevación de transaminasas y bilirrubina. Se realizó VExUS (Venous Excess Ultrasound Score). La figura 1 muestra la inversión del flujo durante la sístole ventricular en el doppler de venas suprahepáticas (flecha roja). La figura 2, el patrón venoso interlobar renal monofásico (ausencia de flujo venoso [flechas azules] en la sístole [flechas blancas]). Ambos hallazgos son sugestivos de congestión venosa sistémica (CVS) grave. Sin embargo, el doppler de vena porta (DVP) (fig. 3) no fue pulsátil (como se esperaría en la CVS). La fibrosis portal por cirrosis (secundaria a ICD) impide la transmisión de pulsatilidad en el flujo venoso, siendo el DVP, en este caso, no valorable dentro del VExUS para el diagnóstico de CVS, por tratarse de un resultado falso negativo.
FinanciaciónLos autores declaran que no existe ninguna entidad financiadora de esta investigación.
Conflicto de interesesLos autores declaran no tener ningún conflicto de intereses, ni haber recibido ningún tipo de apoyo financiero para la realización de la publicación.





