A 46-year-old man with no relevant disease history was admitted due to polytraumatism caused by firearms, with an entry orifice in the left lumbar fossa and the projectile lodged in the right lower lung lobe. A second projectile had penetrated and existed through the neck, without causing damage to major vessels. The patient was admitted with hemorrhagic shock requiring emergent surgery due to massive hemoperitoneum secondary to renal and splenic rupture, together drainage of the traumatic right hemothorax.
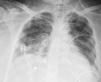
The chest X-rays (Fig. 1) showed the projectile in the right eighth intercostal space, within the right posterior costophrenic recess (thoracoabdominal TC scan, Fig. 2). The enhanced signal intensity in the ultrasound exploration (asterisk) was adequately transmitted in the pleural space due to the presence of pleural effusion. Note the diaphragm in contact with the projectile and the liver at the right in the image (thoracic ultrasound performed from a right posterolateral window, Fig. 3).
FundingNone.
Please cite this article as: Díez Poch M, Pérez Rodríguez L., Báguena Martínez M. Varón de 46 años con politraumatismo grave secundario a heridas por arma de fuego. Med Intensiva. 2021;45:129–130.





